⚠️ 内容警告
自:Jason Ridely(j.ridely@05overwatch.scp)
至:Charles Wadeson(c.wadeson@psite-188.scp)
抄送:SCP-7455研究团队(7455@psite-188.scp);
主题:RE:RE:RE:数据库警报/文件更新(重要!)
各位好,
正如在之前的讨论中提及的,数据库中几份未完成的SCP-7455草稿导致了自动警报被激活。时间戳显示文档已经几个月没有被触碰过,尽管监督者议会得到了相反的情况。
因缺少这些文件无法解除数据库警报,上级已将此认定为紧急优先级。请员工尽快将所有可用文件附加到电子邮件上。
提前感谢。
注:根据标准协议,请同时在新邮件中加入适当的语音确认并发送至此链。
scp_7455.zip(已解压)
本文档应对与临时站点Site-188无关的3或以下级别人员开放。提供SCP-7455相关文档时应去除此说明。
SCP-7455██████████████████,██异常的寄生行为。SCP-7455的种群██████████████进入颅骨████(████████████████)。
一旦进入脑壳内部,████████████████████████████████████████████,但仍然允许无意识功能,例如呼吸和知觉。█████████████,███████████████████████。███████进入脊髓,████████████████████。██,宿主已被完全感染,并将被重新分类为一个SCP-7455-1实例。
SCP-7455-1██████████████,融入人类社会,并谨慎地感染他人。██████████████████████████,██无法复制复杂的运动功能。███(但不限于)交谈、手写和驾驶机动车。████能够理解█████键盘进行输入。
< 20:49 > 研究员Doyle在其工作站。她就着咖啡吞下了一片药。
< 01:04 > 研究员Doyle在其工作站中睡觉。
< 01:19 > 研究员Doyle醒来。她用力揉了揉鼻子。录像中无法辨认其手指上是否有血。
< 01:20 > Doyle用力打开桌子的抽屉,开始在其中搜索。
< 01:22 > 在将抽屉的多数内容物扔到地上后,Doyle找到了一把金属钥匙。她的手指无法拿稳钥匙,几次不小心将钥匙掉在抽屉里和地面上。Doyle把钥匙放在手掌中,攥成拳头。她似乎在喊叫。
< 01: 23 > Doyle从椅子上起身,将手撑在桌面以支撑自己。她艰难地走进走廊。喊叫还在继续。Doyle开始向走廊另一端的壁挂式报警系统移动,将身体靠在墙上。
< 01:25 > Doyle失去平衡,摔倒在铺着油毡的地板上,钥匙掉了出来。它在走廊的中央停下。Doyle似乎停了下来,开始喊叫。她匍匐爬行,拿到钥匙后回到墙边。
< 01:26 > Doyle到达报警系统。一按钮被锁在可以用她手中钥匙打开的塑料盖中。她双手握住钥匙,头和左肩撑在墙上。她艰难地试图将钥匙插进锁孔。由于头发遮挡,录像中无法辨认她是否在哭泣。
< 01:27 > 钥匙部分插入锁孔。研究员Doyle不再喊叫。研究员Doyle停止移动。
< 01:35 > 研究员Doyle左肩抽搐。
< 01:41 - 01:49 > 从头部开始向下的几块肌肉先后绷紧和放松。Doyle没有失去平衡。
< 01:49 > Doyle后退,离开墙边,没有失去平衡。她的肢体不再显示出痛苦。她将钥匙拔出,返回工作站整理。
< 01:50 > Doyle重新开始工作,偶尔停下将键盘上的眼泪擦去。她的眼睛瞥了一眼一只爬过显示器的蚂蚁。
< 01:58 > Doyle打卡离开临时站点Site-188。
后记:Doyle在此次事件后下落不明。
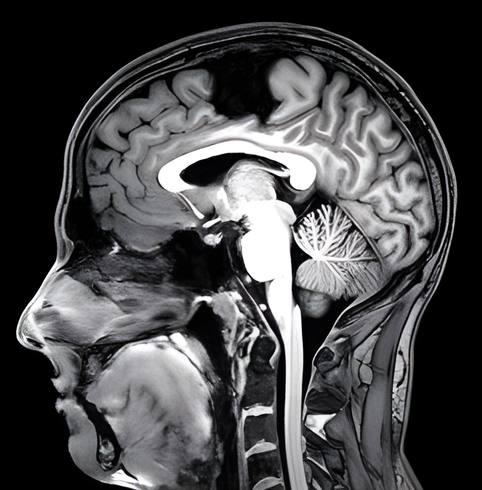
一名死亡SCP-7455-1实例的核磁共振扫描。
在临时站点Site-188对平民分别进行单独隔离已开始变得无法持续。为帮助节约空间,未显现SCP-7455感染症状和隔离3天以上的平民应在一起隔离。

Michael Crooner,一个SCP-7455-1实例,为供进一步研究,已于临时站点Site-188被冷冻。在Crooner因进入医院时右手持有带血的水果刀而被捕后,其被认为是SCP-7455-1实例。████████引导Crooner前往医院的原因暂且未知,推测可能是为治疗他左臂的多处横向切口,这些切口几乎导致他左臂上的所有皮肤被剥离。其中约有160███出现,它们在Crooner被冷冻时██他的血管在裸露的伤口处████。
Michael Crooner的病历显示此次事故前没有自残行为。然而,的确有声明称Crooner被诊断为失眠症患者。
位于阿拉斯加州瓦尔迪兹或其附近的突然意外无法发声的人员将被认为是SCP-7455-1实例,且将被通过烟熏法进行处决。位于瓦尔迪兹或其附近突然产生蚁走感1的人员将被认为无法避免成为SCP-7455-1实例,并会被通过烟熏法处决。同时将对死亡前表现出以上任何一种症状的死者的尸体进行烟熏。与经烟熏过的人员/尸体睡在同一户的人员应在Site-188单独隔离,直至另行通知。
由于瓦尔迪兹人口稀少且十分偏僻,基金会对理查森高速公路和瓦尔迪兹港的监视已有效控制进出城镇的交通。然而,随着时间变化,瓦尔迪兹市人口的增长和城市边界的扩张将导致情况改变。
基金会人员另应注意SCP-7455对临时站点Site-188的现状没有显著威胁。
连续两天的大雨后,多只木蚁于临时站点Site-188内部被发现。目前未知此现象是否与SCP-7455有关。封闭临时站点Site-188的工作仍在进行。基金会对当地商店的监测也发现杀虫剂的采购量大幅增加。
基金会自动安全系统已将p.doyle@psite-188.scp标记为具有可疑活动。根据标准协议,此账号已被停用。请手动查看其近期发送的信息,以确定此账号是否受到黑客攻击或遭受其他损害,并向基金会数字安全办公室汇报结果。您越快完成此工作,就能越快发现安全漏洞。
自:Perri Doyle(pcs.881-etisp|elyod.p#pcs.881-etisp|elyod.p)
至:Susanne Nguyen(pcs.91-etis|neyugm.s#pcs.91-etis|neyugm.s)
主题:今晚的电话
我很抱歉,但今晚没法给你打电话了。最近工作太忙。细节不能告诉你,但事情已经有些恐怖了。团队把能做的都做了,但还是感觉需要救援队把我们接出来。
抱歉,吓到你了。一切都会没事的。希望明天能打电话。
爱你,
Perri
自:Perri Doyle(pcs.881-etisp|elyod.p#pcs.881-etisp|elyod.p)
至:Susanne Nguyen(pcs.91-etis|neyugm.s#pcs.91-etis|neyugm.s)
主题:今晚的电话
还是睡不好,但每晚能跟你说话确实让我镇定了一些。今晚我应该能打电话了。时间和往常一样 :)
爱你,
Perri
自:Perri Doyle(pcs.881-etisp|elyod.p#pcs.881-etisp|elyod.p)
至:Susanne Nguyen(pcs.91-etis|neyugm.s#pcs.91-etis|neyugm.s)
主题:今晚的电话
希望今晚能从你那听到好消息。我真的很需要。话说回来,我猜能给你打电话已经是好消息了。
很快联系!
爱你,
Perri
自:Perri Doyle(pcs.881-etisp|elyod.p#pcs.881-etisp|elyod.p)
至:Susanne Nguyen(pcs.91-etis|neyugm.s#pcs.91-etis|neyugm.s)
主题:(无主题)
我。
自:Perri Doyle(pcs.881-etisp|elyod.p#pcs.881-etisp|elyod.p)
至:Susanne Nguyen(pcs.91-etis|neyugm.s#pcs.91-etis|neyugm.s)
主题:今晚的电话
爱你
,
Perri
自:Perri Doyle(pcs.881-etisp|elyod.p#pcs.881-etisp|elyod.p)
至:Susanne Nguyen(pcs.91-etis|neyugm.s#pcs.91-etis|neyugm.s)
主题:今晚的电话
我很抱歉,但今晚没法给你打电话了。最近工作太忙。
一切都会没事的。希望明天能打电话。
爱你,
Perri
自:Perri Doyle(pcs.881-etisp|elyod.p#pcs.881-etisp|elyod.p)
至:Susanne Nguyen(pcs.91-etis|neyugm.s#pcs.91-etis|neyugm.s)
主题:今晚的电话
我很抱歉,但今晚没法给你打电话了。最近工作太忙。
一切都会没事的。希望明天能打电话。
爱你,
Perri
自:Perri Doyle(pcs.881-etisp|elyod.p#pcs.881-etisp|elyod.p)
至:Susanne Nguyen(pcs.91-etis|neyugm.s#pcs.91-etis|neyugm.s)
主题:今晚的电话
我很抱歉,但今晚没法给你打电话了。最近工作太忙。
一切都会没事的。希望明天能打电话。
爱你,
Perri
自:Perri Doyle(pcs.881-etisp|elyod.p#pcs.881-etisp|elyod.p)
至:Susanne Nguyen(pcs.91-etis|neyugm.s#pcs.91-etis|neyugm.s)
主题:今晚的电话
我很抱歉,但今晚没法给你打电话了。最近工作太忙。
一切都会没事的。希望明天能打电话。
爱你,
Perri
自:Perri Doyle(pcs.881-etisp|elyod.p#pcs.881-etisp|elyod.p)
至:Susanne Nguyen(pcs.91-etis|neyugm.s#pcs.91-etis|neyugm.s)
主题:今晚的电话
我很抱歉,但今晚没法给你打电话了。最近工作太忙。
一切都会没事的。希望明天能打电话。
爱你,
Perri
自:Perri Doyle(pcs.881-etisp|elyod.p#pcs.881-etisp|elyod.p)
至:Susanne Nguyen(pcs.91-etis|neyugm.s#pcs.91-etis|neyugm.s)
主题:今晚的电话
我很抱歉,但今晚没法给你打电话了。最近工作太忙。
一切都会没事的。希望明天能打电话。
爱你,
Perri
[此信息发出后账号被自动停用。此时已有28篇相同邮件的草稿。]
选择
☐接受 ☐不接受
更新:由于新的安保协议,审查此事件的人员被要求提供一份语音文件说明他们的选择。
注:在临时站点Site-188成立前,基金会官员通过Amanda Anderson的丈夫Ray的报告得知了一起有关她的事件。虽然事件最初由当地有关部门处理,但基金会官员在几个月后收到了如下录像。
[21:29 - 记录开始]
[来源:布莱伍德公寓监控系统]
镜头俯瞰走廊1B。Ray Anderson从走廊唯一的楼梯来到上方。他正用双手捧着一混合花束。
近一分钟后,Anderson从走廊1B左转来到走廊1E。摄像机视角转变到建筑物的另一个角落处。Anderson左转后停下来休息喘气。他显然很劳累,他擦了擦额头上的汗,随后继续穿过走廊。
Anderson穿过走廊3E,在113号门打开时停下。一名年长的妇女拿着食物和其他物品走了出来。他们进行了简短的谈话,随后Anderson中断了谈话。二人分别时他揉了揉左肩。
Anderson再次左转,继续向前走去。
[来源:Amanda Anderson的私人家庭安全设备]
摄像机视角切换到119号门的家庭安保门铃摄像机处。Anderson站在门铃正前方。他在按铃前注视了摄像机片刻。
无人应答。他再次按下按钮。
Anderson在门口踱步。他等待了几分钟,随后查看周围。确认无人后,Anderson转动门把手。门没有上锁。
摄像机视角切换到安全设备处,观察119号公寓黑暗的内部。Anderson安静地进入前门,摸了摸左侧的墙,想找到灯的开关。他成功了,打开了悬挂在客厅上方干净的吊扇灯。
Anderson通过说话确认住所内是否有其他人,但无人应答。在搜索客厅和附近的餐厅后,他进入了厨房。Anderson注意到瓷砖地板上有一排蚂蚁和一些用过的医疗设备。
Anderson搜索厨房,没有发现有价值的信息。他将花束放在附近的工作台上,走向走廊。
Anderson走向走廊旁边一扇关闭的门。进入前他敲了门,报了自己的名字。摄像机视角再次改变,观察一卧室内部。
Anderson进入卧室,看到一具尸体躺在床上的一个黑色隆起上。还有几个打开的药瓶,内混合有非处方药和处方心脏药物。尸体通过线连接着设备,一显示器显示“错误!”尸体下方的黑色隆起移动。Anderson叫起来。黑色的蚂蚁从尸体的嘴、泪腺、耳朵和胯部爬出,爬过医疗设备和床架。几只蚂蚁带着卵或幼虫。
Anderson跑出房间。尸体的皮肤和肌肉开始收缩和变形。蚂蚁继续从开口,偶尔从开放的血管中穿过,从内部撕裂皮肤。
有关部门人员到达时,蚂蚁已扩散到地板和墙壁的裂缝内。
[22:04 - 记录结束]
后记:当地与基金会有关部门随后发现45岁的Amanda Anderson于其卧室中死亡。死亡原因被认定为突发性心力衰竭,发生于Ray Anderson到达前。
基金会人员在此次事件前没有意识到SCP-7455的存在。
自:Charles Wadeson(c.wadeson@psite-188.scp)
至:Jason Ridely(j.ridely@05overwatch.scp)
抄送:SCP-7455研究团队(7455@psite-188.scp);
主题:RE:RE:RE:RE:数据库警报/文件更新(重要!)
您好。
抱歉没有回应。其他人都在尽力入睡。所有文档都附在这封邮件上了。
感谢您的耐心。
附件:📎 scp-7455.zip(1)





