特殊收容措施: 人员若出现SCP-7202症状,应第一时间上报最近的员工健康站。SCP-7202现无法治愈,非处方口腔凝胶据报告可以有效缓解症状。
描述: SCP-7202是一种异常性的牙齿现象,其特征为突然出现温和但持续不断的牙龈瘙痒,无明确原因。截至目前,SCP-7202影响到Site-5331D内 70%左右的驻站居民以及40%的全天雇员。非异常环境及条件因素(如水质、个人卫生)已被排除。无论如何,患有SCP-7202的人员报告称若身处Site-5331D之外,症状烈度就会减轻。
SCP-7202病例首次报告于2015年1月,在调查后于同年10月11日给予其正式SCP编号。
员工备忘: 我们为各位在调查中的耐心表示感谢。隐秘疾病学部及超常牙医学部正在努力探索于今后治疗及预防SCP-7202的手段。在这期间,建议受影响及未受影响的员工们尽可能避免近距离接触;此外,各位人员应照常履行职责。
.
.
.
RAISA提醒
可查阅更新后文档。
SCP-7202病人。
特殊收容措施: SCP-7202影响人员可在任何指定员工健康站内享受免费口腔治疗产品及服务。 SCP-7202现无法治愈,特定的专利口腔凝胶可减少疼痛并预防流血。
描述: SCP-7202是一种急性的特发性难治牙龈炎1,自发影响着Site-5331D的驻站居民以及全天雇员。由于非全天雇员不受影响,以及有多名受影响雇员在被转移到其他基金会站点后报告症状减弱,确信SCP-7202的发展与在Site-5331D的停留时间相关。
员工备忘: 希望减少工作时长或调往其他设施的人员应分别提交申请表WA939或EM736,并出示来自直属上级的书面批准。雇员还应牢记基金会纳保政策不允许在家办公,任何此类请求都将被自动否决。隐秘疾病学部及超常牙医学部正在努力探索于今后治疗及预防SCP-7202的手段。
.
.
.
RAISA提醒
可查阅更新后文档。
SCP-7202中期病例。
特殊收容措施: SCP-7202影响人员可访问指定员工健康站接受免费口腔治疗产品,每月可接受一次免费手术切除过剩牙龈组织。此外,所有员工应每周向其员工健康站报道一次,接受牙科问诊。若医师认为对病人长期口腔安全来说有必要,将可能安排强制手术。
Site-5331D内所有餐食分发点将继续提供松软液态食物替代品,直至设施被完全清空。
描述: SCP-7202是一种异常性的牙科病症,特征为牙龈发生快速的过度生长。SCP-7202产生的过剩牙龈组织一般多孔、敏感且易于出血。由于发展速度极快,若无手术干预,牙龈组织可能会在数周之内将牙齿闭塞、妨害下颌活动。
SCP-7202会影响到身处基金会Site-5331D周边范围内任何具有牙龈组织的活体生物。SCP-7202的发展速度与在范围内的停留时长大致成正比。
员工备忘: 为最小化交叉暴露风险以及维持充足人手,现已暂停所有从Site-5331D的人员调离。不过,由于SCP-7202对员工士气造成了负面影响,05议会已批准从2017年秋季开始将Site-5331D的人员及异常性资产逐步迁往一座新设施,编为Site-5331E。此过程将保持循序渐进并受严密监控,以辨识并隔离任何潜在的SCP-7202传染源。在此期间,隐秘疾病学部及超常牙医学部将努力探索今后治疗及预防SCP-7202的手段。
.
.
.
RAISA提醒
可查阅更新后文档。
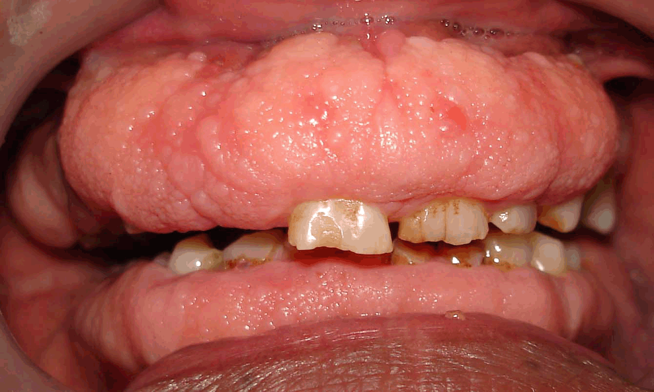
SCP-7202增生未受治疗后造成的牙齿错位。
特殊收容措施: 员工健康中心将为全体受SCP-7202影响的人员及资产设置并维护OWN单元。受SCP-7202影响的人员及资产不可被转移到专为SCP-7202-POI保留之外的设施。
若生活于站外,SCP-7202-POI已被临时批准可以离开指定设施,但必须保持接受严密监控,建议其工作外最小化与其他活体生物的直接接触。
描述: SCP-7202是一种异常性的牙科疾病,类似一种更快速的特发性牙龈纤维瘤。除增大及溃烂外,受影响的牙龈组织还会出现角蛋白含量逐步增加,使其硬度达到大部分常规切除方法无法起效的程度。作为应对,基金会已开发出削减牙龈组织的专门设备,包括口腔健康还原器(OWN)。
SCP-7202的传播机制仍不明确,但其影响似乎仅局限于藏有SCP-7202-POI的基金会设施。2若有SCP-7202-POI个体被转移到其他设施,该设施的其他人员也将开始表现出SCP-7202症状。在此类病例中,若将SCP-7202-POI个体移出设施,二次暴露的影响会在3-4月内彻底消失。
SCP-7202于2015年在Site-5331D的居民及全天人员中被首次发现。站点员工及被收容资产于2017年开始逐步转移到新设施(Site-5331E), SCP-7202-POI间的SCP-7202症状在转移后出现缓解,但在最终转移完成的几个月之后以更为猛烈的形式复发。
OWN用户指南
如何使用你的OWN单元:
• 选择你需要的术后记忆删除及麻醉级别。
• 确保你被完全固定在一个稳定且舒适的位置。
• 将你的面部轻轻放入OWN单元内。你的鼻子应该舒适地顶在绿线上。
• 检查口腔镜头及面部支撑屏幕功能运转正常,视觉延迟保持在轻微或没有。
• 小心将你的嘴唇套入安全环。若你需要用手指来完成这点,请首先用肥皂及水彻底清洗双手。
- 注意: 在你套入安全环时,嘴唇感到被拉扯绷紧是正常的。若你的嘴唇很容易从位置上滑出,或者你在把嘴唇套入安全环时感到任何疼痛或严重不适,请告知你的员工健康站,你的安全环将被校准到合适尺寸。
• 若以上所有步骤都被正确执行后,同时按下OWN单元两侧的发光按钮启动麻醉,然后再按第二次启动剔除机制。
• 在面部支撑屏上小心监控整个过程。
• 若你的OWN单元出现意外表现,摁下两侧任一按钮第三次以启动紧急停止。
• 在剔除完成、OWN单元松脱后,小心地将你的头从面部支撑架上抬起,检查你的结果是否如愿。若需要第二次剔除,请等候你的OWN单元在45分钟后重新激活。
• 若感到满意,从OWN单元上取下红色废弃物袋,将其投入对应的红色BIO箱中。
使用指南:
• 注意每天至少使用你的OWN单元至少一次。怠于剔除牙龈增生可能造成牙齿错位、面部畸形、下颌受伤以及/或者窒息。
• 切勿在每24小时中剔除超过4次,若你患有贫血切勿超出每12小时1次。
• 若每天进行多次剔除,为你的健康及安全考虑,建议在后续每次启动中减少OWN单元的麻醉剂量,具体取决于用户体重。
• 若你感觉在使用OWN单元过程中出现头晕或开始失去意识,立即启动紧急停止。
• 若你发现很难在使用OWN单元过程中保持注意力,请找一位朋友或同事监督你的剔除。
• 切勿在嘴唇没有安全套入安全环的情况下启动OWN单元。未保障非牙龈组织安全可能对结果造成负面影响。
• 切勿使用没有为你定做的OWN单元。记住:你的OWN单元是为你量身定做的。每件套装都是根据各自用户的牙科档案来校准的。使用以错误牙科档案校准的OWN单元可能造成在剔除过程中出现非正常行动。
• 切勿尝试在你的OWN单元激活过程中退出。在试图将你的身体任何部位移出机器、或将机器任何部位移出你的身体前,应首先激活紧急停止。
• 切勿将你的废弃物袋投入红色BIO箱外的任何接收点。
• 你的OWN单元会为你自动密封废弃物袋。若你的废弃物袋出现意外困难,请联系你的员工健康站,而非清洁服务。
员工备忘: 随OWN试运作完成以及COVID-19整体减弱,在家办公人员预计可在2023年3月回到驻站岗位上。这可能伴随着一些失落,但管理层有足够信心表示这一步将为接下来一个季度带回收容安全及研究效率的优化。请放心,隐秘疾病学部及超常牙医学部将努力探索今后治疗及预防SCP-7202的手段。





