SCP-5150的外观,拍摄于其西侧边缘。
特殊收容措施:
SCP-5150目前被收容于临时站点334中。已开展虚假信息散布活动,使用临时站点334的掩盖故事“Hops铁路公司”,向公众隐瞒SCP-5150及其广告海报、社交平台贴文、新闻报道等相关媒体的存在。关于SCP-5150信息仍在持续传播,其途径正在调查中。
若有人未经允许进入SCP-5150,在人员成功离开后,需将其拘留并立刻送至站点内医务室。在将人员所有额外生长出的牙齿全部拔除并存放于医务室储备间后,对人员进行审查和询问,而后实施C级记忆删除。
所有尝试与SCP-5150进行交互的站点员工需时刻携带一条至少含有35克糖的糖果棒。
描述:
SCP-5150是一间位于印第安纳州印第安纳波利斯市西北郊外的牙科诊所。SCP-5150占地约140平方米,其建筑内部面积约115平方米。SCP-5150外侧唯一的辨识性特征是挂在建筑前门上方的电子招牌,其上文字为“John Hendricks医生,牙医外科博士。”SCP-5150内部有六个房间,其中有SCP-5150-1、SCP-5150-2、SCP-5150-3三类实体。
SCP-5150-1是位于SCP-5150内接待台处的实体。SCP-5150-1的外观与标准的人形相似,但口腔与人类不同。SCP-5150-1的上颌骨与下颌骨1残缺毁坏, 表现出门齿缺失、犬齿过多、牙龈2出血等状况。当SCP-5150-1获取到人类牙齿时,其异常性质将会显现;此时,它会将得到的牙齿植入自己的口腔。此行为的原因尚在调查中,而根据目前信息推测,实体的目的是改善自己的口腔状况。正在研究这种强制植牙行为对SCP-5150-1和SCP-5150-2有何益处。进入SCP-5150内的对象,需要先与SCP-5150-1交流,而后才能继续前进或者离开建筑。观察到SCP-5150-1对人类对象展现出侵略性的行为举止。
SCP-5150-2实例是牙医助手,在SCP-5150内除等候区以外的各处均会出现。SCP-5150-2实例展现出与SCP-5150-1相似的外观和异常性质。观察到SCP-5150-2实例主动袭击且抓捕人类对象,随后将抓获的对象带到一间开放式诊室内并束缚在手术台上。SCP-5150-2一直随身携带典型牙医器械,用作武器。

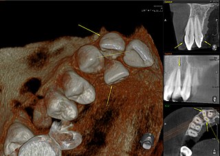
SCP-5150-3,或称“John Hendricks医生”,出现在SCP-5150的三间诊室内及其个人办公室中。目前的调查重点在于确定SCP-5150-3的异常能力来源。根据获取到的信息推断,SCP-5150-3具有使人类对象患上严重多齿症的能力。患者的多齿症并非自然产生:SCP-5150-3会将来源未知的牙齿直接植入对象的口腔。
当SCP-5150-3对人类对象的手术结束时,它会给予对象一个装有各种非处方口腔保健药物的袋子。人类对象需要领受此袋药物才能离开建筑。
附录5150-1
文档SC-011-4IL
探索视频文字记录
时间:2023/07/09
对象:D-457142
指挥官:Bobby Daniels
其他队员:Marcus Drago,Andrew Fullhar
[记录开始]
对象D-457142接受指示,前往调查探索被指定为SCP-5150的建筑。D-457142携带一条█████牌巧克力棒。视频记录开始于对象朝建筑走去时。
D-457142:我大概看到它了。你们能告诉我进去之后会发生什么事吗?
指挥部:那是机密。请继续。
D-457142:是一间牙医诊所,对吧?然后呢,你们的意思是那里面会发生一些“拔牙”以外的事情?
指挥部没有回答D-457142的问题。4分钟后,对象成功抵达SCP-5150的前门口。D-457142穿越门口,进入目标建筑内部,附近响起一阵门铃声。对象进门后,一声微弱的咔哒声从身后传来。
D-457142:什么鬼?刚刚是门锁上了吗?
对象转身,尝试离开建筑,但没能成功开门。
D-457142:哈,真他妈有意思啊哥们。多棒的恶作剧。我觉得很好笑,真的。(对象嘲讽地笑了笑。)行了别装傻尬笑了,你们现在能把门打开吗?我他妈肯定不会走掉;我就是不喜欢被困住的感觉。
指挥部:我们控制不了门。请探索房间。
D-457142继续尝试开门两次,没有成功。对象试图打碎入口两旁的玻璃窗,亦不成功。
D-457142:“我们控制不了门”,妈的。是,好像我会信你们的鬼一样。(对象短暂停顿。)说起来,你们能不能解释一下你们是什么人?是不是,像非盈利组织之类的家伙?
指挥部没有回答D-457142。
D-457142:切,总之你们就是要搞些“神秘感”之类的。
指挥部:你身上有任务,D-457142。我建议你听从指令,好吧。
对象转身朝向等候区。在D-457142对面,四张椅子摆成一排,围住墙角。右侧是另一排椅子和各种各样的玩具。在画面左侧边缘,可见坐在接待台后面的SCP-5150-1。接待台被玻璃围住,留出一个高约1.2米,宽约0.8米的小窗口。SCP-5150-1坐在窗口后面;然而,镜头中观察不到它的样貌。
D-457142:不清楚你们看不看得到,反正这就是间等候室。除了有台电视在播《吸血鬼猎人巴菲》以外,没什么不寻常的地方。接下来干什么?
指挥部:请在区域内走一圈。走完了就去找接待员。
对象遵照指令,沿右侧墙壁行走。在对象探索完区域之后,镜头转向SCP-5150-1。
D-457142:这姑娘是怎么了?
SCP-5150-1身穿白领衬衫,用一张白色口罩遮住口腔空洞。在SCP-5150-1的身前放着一张纸。对象转身走向SCP-5150-1。
SCP-5150-1:您好,先生。需要我帮您办理预约吗?
D-457142走到SCP-5150-1面前。
D-457142:是吧,应该。“办理预约”要怎么做?之后会发生什么事?
SCP-5150-1递给对象一支黑笔。
SCP-5150-1:不用担心,先生。在这里签个字就行了。
SCP-5150-1指了指纸张上的一条横线。
SCP-5150-1:办理您的预约大概只要五分钟?之后您就去找Hendricks医生看诊,对吧?
D-457142:当然。
对象签字。
SCP-5150-1:很好。现在,在您进去之前,我还要看一样东西。
D-457142:好啊,什么东西?
SCP-5150-1:当然是您的牙齿啦。能让我看看吗?
D-457142:等等。(D-457142停顿。)你为啥要看我牙齿?
SCP-5150-1:我正在上牙医学的线上课程,需要实践经验。有时候患者会让我看一下牙齿,好让我估计一下到时候Hendricks医生的治疗效果怎样。您让我试一试好不好?
D-457142:噢。(D-457142停顿。)呃,这都啥跟啥啊。当然,你看吧。
对象一张嘴,SCP-5150-1立刻抓住D-457142的左半边下巴。
SCP-5150-1:哦您的牙齿好干净啊!看医生对您来说就是散散步,不用担心。(SCP-5150-1停顿。)哇噢。
SCP-5150-1迅速从桌面下抽出一件形似老虎钳的工具,然后钳住对象的两颗下门齿,向外一拉,将D-457142的两颗门齿完全拔出,全程用时不到一秒。D-457142喊叫着从SCP-5150-1身边退开。
D-457142:乃他哇啊!
血液滴到摄像机镜头上。D-457142把镜头擦干净。
SCP-5150-1:这些牙齿……真是漂亮。谢谢您。
备注:记录已经过编辑,以使D-457142所说话语更加清晰。
D-457142:你为什么要那样做?离我远点你这疯子!
对象远离接待台,并找到了一个似乎是纸巾盒的物件。D-457142抽出几张纸巾,用来止住嘴巴的出血。SCP-5150-1在对象的对面,盯着两颗门齿看。随后,SCP-5150-1摘下口罩,露出残损的口腔空洞,接着把两颗门齿用力地插入牙龈上的空缺。D-457142退后,与实体拉开距离。
SCP-5150-1:Hendricks医生现在可以给您看诊了,先生。请到3号房间就诊。
画面右侧传来一声咔哒响声。D-457142转身,见到了通向其他四个房间的门口。
指挥部:请走过去。我们还有更多的任务需要你去完成。
D-457142:你们是不是瞎了?那个癫婆刚刚他妈的把我的牙齿拔了出去!
指挥部:我们有一支医疗队来接应你,但别忘了你仍然被锁在里面。现在我们没法把你带出来。
D-457142:你们的意思是我要一直被困到这个“预约”结束?
指挥部:你别无选择。
D-457142:你们这群混蛋……该死!
对象把用过的纸巾丢弃,穿过门口。门在对象进入后自动关上,门锁的咔哒声传来。
D-457142:啊,漂亮。妈的,关键补刀啊。
D-457142在走廊中前行。一段时间后,附近传来一阵笑声,对象迅速将身体贴在左侧墙面上。等待几分钟后,D-457142继续贴墙行走,直到一个SCP-5150-2实例从对象身边的房间内走出。D-457142蹲坐下来,等待SCP-5150-2走进它对面的房间。
D-457142:像这样的家伙,我要躲几个?
指挥部: 我们不清楚确切的数量,但至少有三个。如果有需要,就使用我们给你的巧克力,它会有用的。
D-457142继续前进,到达走廊尽头。此时,对象转向身侧,见到一张写着“John Hendricks”的门。对象跑过去,把门打开。D-457142以蹲姿进入房间,然后关上房门。办公室内空无一人。
D-457142:我进来了。给个话,喂?我要做什么?我的嘴巴开始他妈的疼了,而且我全身都难受。
指挥部:了解。尝试寻找一些有价值的东西。找一找文档或者研究论文。即使是一页期刊也行,只要你找得到。
D-457142:(停顿。)好,给我一点时间。
对象依照指令行动。画面绕房间一圈,而后来到房间中央。一张桌子出现在画面中,D-457142坐下来进行调查。
D-457142:桌子里是空的。妈的当然是空的,难不成还能碰见什么东西?
房间的门被打开。一个SCP-5150-2实例出现。
SCP-5150-2:你在做什么?我们为你准备了另外一个房间。
D-457142蹬着身后墙面,从左边口袋中抽出巧克力棒,迅速将其举起。SCP-5150-2尖叫着远离D-457142。另外两个SCP-5150-2实例出现,其中的第二个有着和SCP-5150-1类似的口腔空洞。两个实例都持有形似Briault探针3的工具。
SCP-5150-2(2):请跟我们走。
三个实例一起缓慢地行动,与D-457142对峙。在双方相距大约三米时,D-457142将巧克力棒扔出,砸中第三个SCP-5150-2实例。实体开始尖叫,可见其口腔空洞出血,暴露在外的牙齿也被迅速腐蚀。
D-457142:别靠近我!
第二个SCP-5150-2实例快速跳至D-457142身前,举起持着探针的左手,而后向下一挥,正中对象的右肩。D-457142惨叫,试图把实体推开。第一个SCP-5150-2实例擒住D-457142的左前臂,撕咬暴露出来的肌肤。对象的骨头折断,前臂出血。一番缠斗过后,三个SCP-5150-2实例制服了D-457142。对象被拖走并被带到3号房间内。一进入房间,三个实例就将对象押上牙科椅,并用皮带捆住。D-457142再次开始喊叫。
SCP-5150-2(2):你可以信任我们,先生。我们只需要在牙医过来之前拔掉一些牙齿。
请注意:从此时开始的五分钟内,D-457142身上的摄像机朝着天花板,因而没有拍到相应的画面。
D-457142仍在挣扎,画面外传来身体活动的声音。大约一分钟后,活动声短暂停下,D-457142的叫声再次响起。根据收集到的信息以及D-457142的事后证言推测,这段时间内,三个SCP-5150-2实例成功拔除了对象的两颗下犬齿和三颗臼齿。据报告称,过程中并未使用笑气麻醉;然而,对象很可能在手术的全程中保持清醒。
4分30秒的无关视频略去。
SCP-5150-3:你好,先生。抱歉,看来我到得有点晚了。其他人已经给你治疗过了吗?
D-457142:吃……屎吧你。
SCP-5150-3:(SCP-5150-3大笑。)这是什么话!干嘛着急呢?别担心;这是为你自己好。我知道这可能有些吓人,但很快就能搞定。
SCP-5150-3笑了一段时间,而后摄像机镜头晃动起来。几秒后,摄像机被从D-457142身上取下,SCP-5150-3出现在画面中。
SCP-5150-3:这是要拍家庭录像吗?啊,没关系的。虽然在技术上这有些违反医患之间的保密原则,但破个例也不是不行。来,我把它放到拍得更清楚的角度。
SCP-5150-3将摄像机放在房间右侧远端的角落处。现在D-457142和SCP-5150-3都在画面中。对象的口中仍在出血。
SCP-5150-3:就这样,好多了!我们刚刚说到哪来着?哦对了。看上去,他们已经干过活了。真可惜;你的牙齿似乎目前状态不佳。但你就是为此而来的。我能把这些全部治好!
SCP-5150-3从对象身边走开,拿来一个袋子。接着,SCP-5150-3走到房间对面,取了几根注射器和各种洁牙工具。SCP-5150-3回到D-457142身边。
SCP-5150-3:好了,我们需要的工具都在这里。你准备好了吗?
D-457142:滚开,癫佬。
SCP-5150-3:瞧你这脾气。放心,治疗结束后你会感谢我的。
SCP-5150-3把D-457142身下的牙科椅升高,将一个Jennings开口器4塞入对象的口中。当D-457142的口腔张开时,SCP-5150-3开始使用牙周探针和牙镜检查对象的牙齿。检查大约五分钟后,SCP-5150-3转而用力地刮擦对象剩余的牙齿和舌头。大约十分钟后,SCP-5150-3换上一把牙钻,用它钻开对象的牙龈和脸颊内侧。牙钻在对象的脸颊中运转了十五分钟。从回收的录像和D-457142的事后证词推断,当时确有使用强效麻醉剂;然而,麻醉剂或是注射位置有误,或是因浓度过低而不能镇痛。为简洁起见,两小时的无关视频略去。
SCP-5150-3:清洁已经差不多完成了!还坚持得住吗?
D-457142呻吟。
SCP-5150-3:(笑)挺不错嘛!看,我知道这一套治疗下来,你可能不太体面。别担心;接下来是最后一步。不过在开始之前,我要去遮一下镜头。这个是不能拍的。理解一下,好吧?
SCP-5150-3走向摄像机,将它旋转,朝向墙面。
SCP-5150-3:这就好了!来吧,是时候开始治疗了。这一步只要二十分钟左右,然后你就能离开了。是不是很高兴?
D-457142没有回应SCP-5150-3。随后,SCP-5150-3的异常能力发动。后来的视频表明D-457142与SCP-5150-3交互之后罹患了多齿症。推测这段“治疗”即是D-457142的病因。
时长20:03的无关视频略去。
治疗完成后,SCP-5150-3将一个装有各种物品的袋子递给D-457142。接过SCP-5150-3的袋子后,D-457142离开了建筑。
[记录结束]
总结:治疗结束后,D-457142由于口腔内牙齿过多而不能说话。D-457142离开建筑后,立刻被基金会人员拦截,并被送往站点334医务室接受治疗和询问。在得到站点主管Ford Cliff和伦理委员会必要的共同准许之前,对SCP-5150的进一步实验停止。
安保警告:于2023/08/01时,曾被指定为SCP-5150的建筑中的异常实体和超常现象消失。尚未明确此变化的原因;然而,于2023/09/22时,在印第安纳州格林伍德市附近发现了有关John Hendricks医生的广告海报。目前位于临时站点334内的资产正在进行迁移,以收容SCP-5150及其附属异常。





