项目编号:SCP-3008-JP
项目等级:Euclid
特殊收容措施:将对全部位于城市地区或有较多定期访院患者的医院各派遣至少两名基金会职员以掩盖SCP-3008-JP的发生。此外,易患SCP-3008-JP的受关注对象将被在SCP-JP社会监管系统中登记,以及时监控对象对医院的造访。
描述:SCP-3008-JP指生成在人肺中的大虾夷盘扇贝(atinopecten yessoensis),目前所确认的最大大小为七厘米。已确认SCP-3008-JP可以以任何满足条件的人类个体为对象生成。
生成有SCP-3008-JP的人类个体(下称对象)在此类通常致命的情况下仍可正常生存,此外,其肺活量和其他肺部机能均与正常情况无异。基金会曾尝试通过解剖对象的手段分离出SCP-3008-JP,但其在接触到外界的极短时间内便会被破坏而形成粉末,故目前没有任何成功得到完整项目的实例。
SCP-3008-JP是人肺长期吸入含钙粉尘后,在小概率情况下部分肺组织被等体积钙置换而形成的产物。鉴于长期吸入含钙粉尘的情况相当罕见,大多数人产生SCP-3008-JP的概率极低。但作为唯一例外,教育工作者患病概率较高,因教师常暴露在黑板粉笔尘灰下。预期,为使SCP-3008-JP生成完整,一般情况下教师需使用粉笔工作四十至五十年。
以下为对一例对象的采访,█████████ ██████。
采访者:小山博士
对象:█████████ ██████
<记录开始>
[省略]
对象:这就是我的肺吗,真的?
采访者:的确是。或许对您而言有点难以置信。
对象:有趣。不过为什么会是我?
采访者:并不仅限于您,但是根据我们的研究,大部分日常中会呼吸到含钙粉尘的人都会有,大多数是——
对象:教师,我猜。
采访者:啊,正是如此。
对象:[沉默] 总觉得某种意义上很漂亮呢。
采访者:很漂亮?
对象:学生们心中对未来的可能性的残留以贝壳为具象而存在着,算是种浪漫吧。
采访者:老师您是这样积极的看待这件事的吗。
对象:“我们不因喜悦而欢笑,我们因欢笑而喜悦。”如果不去寻找人生中有趣的部分的话,你是没办法感到快乐的吧。
采访者:卓别林的格言,不错。如果人们都像您一样看待生活的话,我们的工作也能够容易些吧。
对象:听起来很辛苦呢。我也教过不少有些奇怪的学生。像是那个总喜欢在院子里烤红薯的孩子。
采访者:还有那样的孩子……您辛苦了啊。
对象:可不是!每天我都得跟他急一回。“你是认真的吗?!天天都在这里干些怪事!”[沉默] 虽然如此,但的确还是有很多乐趣啊。那孩子的潜力绝对就在这贝壳中的某处。里面的贝肉绝对比我想象的更大吧,不,或许那里会有着珍珠也说不定。
采访者:可珍珠是珍珠蚌里——
对象:那只是个比喻。“在单一的语词中赋予如山的含义,如此人生便会更加绚烂”。
采访者:如此明智的话语是谁说的?老师。
对象:[笑] 是我个人发明的,博士。
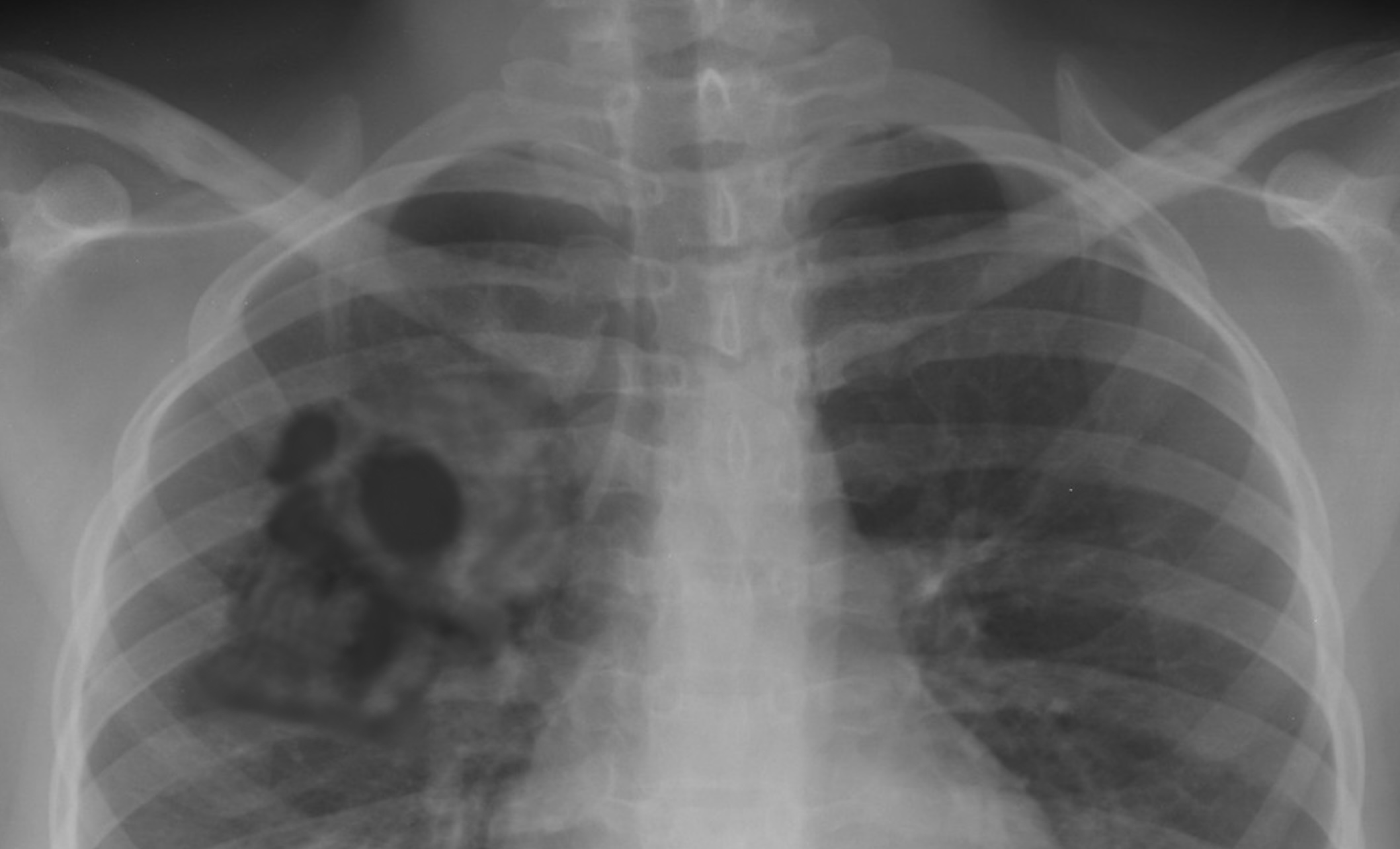
备注1:于2002/9/26,一位███内科医院的定期访院39岁男性患者被临时拘留。在被拘留之前,对象于同一家医院被确诊肺癌。鉴于先前访院时X光照片显示其肺部结节影肥大化并形成异常轮廓,因此本院的医生以其为罕见病例向日本呼吸科学会共享,并以此引起了基金会的注意。依据若干处相似点,对象被记录为SCP-3008-JP的近似病历。
尽管此名男性并非教职员工,但长年作为火葬场职员工作,并主要承担火葬炉清理任务。从此便可注意到其具有长期吸入了含钙粉尘的可能。已决定将对象释放,并同时对对象进行一年两次的定期检查,以进行跟踪观察1。相关职员应在每次定期检查后更新附加于此文档的X光照片。
2027/6/15 第48回 定期检查





