项目编号:
SCP-6009
项目等级:
TICONDEROGA
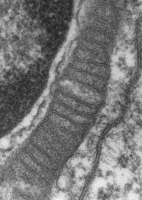
神经元周围的6009-Catena(2500倍放大)
特殊收容措施:由于SCP-6009在生物学功能上的必要性,目前尚未找到成功的收容措施,并且收容很可能是不可行且不必要的。当下的收容措施着力于防止关于SCP-6009和6009-Catena1区的信息发生泄露。
SCP-6009尺寸微小,且缺乏直接可见的异常特征,使得世俗研究人员发现其异常性质的可能性较小。应审查基因学、表观遗传学、显微生物学和神经科学刊物是否包含与SCP-6009相关的论文,并由纳米生物组学Nanobiomics部决定是否允许其发表。
医学教材已经过标准化,将6009-Catena区记载为可以安全地忽视的保护性组织。因此,世俗医生不太可能推断出6009-Catena的异常本质。即使如此,仍应该筛查医学期刊和神经外科学案例报告是否提及6009-Catena或SCP-6009。
从维吉尼亚计划Project Vigenère中获得的关于基因簇关联的基因组数据可供所有许可等级3以上人员索取查阅。所有针对SCP-6009的研究和测试均由纳米生物组学部管理。
将SCP-6009从Ticonderoga2重分级为Thaumiel的提案在维吉尼亚计划结果未定时暂缓执行。
描述:SCP-6009是人类的线粒体。
SCP-6009在结构和功能上与其他真核生物的线粒体大致相似,包括其在细胞呼吸、细胞周期调控和某些信号通路上的作用。一些因素使SCP-6009和其他真核生物的线粒体有所不同。
| 类别 | 无异常线粒体 | SCP-6009 |
|---|---|---|
| 图像 | ||
| 物理尺寸 | 约500-1000纳米 | 约200-500纳米 |
| 运动性(胞内) | 通过附着于动力蛋白/中介分子复合体(Miro1)实现 | 通过附着于动力蛋白/中介分子复合体(Miro1)实现 |
| 运动性(胞外) | 未观察到 | 可观察到;机理未知 |
| 线粒体DNA(mtDNA)长度 | 动物中约16.5千碱基对,植物中约2千碱基对 | 约16-18千碱基对,随存在位置改变 |
| 细胞外出现 | 血流中偶见 | 参见附录6009-Catena |
| 融合与裂变 | 非常常见 | 非常常见 |
附录6009-Catena:将SCP-6009从传统细胞生物学中区分开的、最显著的异常现象是6009-Catena区的存在。观察到SCP-6009存在于细胞之外并聚集成群落状结构,并展现出不符合细胞内运动机理的高水平移动行为。观察到SCP-6009的实例有时会在6009-Catena区中融合为长链结构;未在人体其他区域发现该行为。
6009-Catena区是上述SCP-6009长链在细胞外基质中形成的网络,交织于大脑中的树突与有髓鞘轴突之间。6009-Catena中绝大多数的SCP-6009围绕着基底神经节,但6009-Catena的支链延伸至神经回路的全部区域。大部分6009-Catena并不明显移动,但是“梯子”的末端能够自由运动,其被认为用以维持该区的形态和连接。蛋白质、特定离子和神经递质自由进出6009-Catena和神经元,形成一种维持功能的非传统信号机制。虽然其仅占据白质重量的2%,但它被认为在神经学功能与神经回路的形成中起重要作用。
将SCP-6009与其他真核生物区别开来的异常本质直到6009-Catena被发现才变得清晰。由于SCP-6009通常在其宿主人体死亡的几小时内死亡,遗体解剖未能在6009-Catena区中发现SCP-6009活动。体外培养细胞内的SCP-6009行为与无异常线粒体完全一致,这让它在多年内躲避了研究人员的视野。SCP-6009的活动在6009-Catena区的神经元内外最为普遍。
基于ChOMP-Seq的全线粒体DNA整体测序3发现了一个重要的差异,其成为维吉尼亚计划的重点。SCP-6009中找到的大部分mtDNA都早已被理解透彻,它们编码诸如NADH脱氢酶的无异常蛋白质,行使普通的线粒体功能。与无异常线粒体相同,SCP-6009的许多蛋白质由细胞核基因4合成。然而,虽然传统学说认为异质性是线粒体复制的自然且无意的结果,它现在被认为是SCP-6009功能的关键。未知的线粒体基因的功能与分布是维吉尼亚计划的主题,这些记忆被认为负责6009-Catena的形成以及其他异常,如观察到的运动性和对神经回路的干预。
大量目前已知的SCP-6009信息由冈见亮辅Okami Ryōsuke博士(前神经科学部)和蒋渭火Chiang Wei-Huo博士(前基因学部)合作发现,此二人均被认为是纳米生物组学部的创始人。
已归档项目提案:提交于2010年8月29日(拒绝);2010年9月4日(拒绝);2010年9月8日(拒绝);2010年9月20日(拒绝);2010年10月1日(接受)
跨部门合作申请
| 申请人 | 发出部门 | 目的部门 | 项目名称 |
| 蒋渭火 | 基因学部 | 神经科学部 | - |
申请详情
对SCP-6009及6009-Catena的初步研究表明需要进一步研究。通过这次合作,我们期望阐明:
1. SCP-6009具有运动性的原因与方法:观察到它在全身具有运动性,这是它能够形成6009-Catena的关键,但是其在胞内与胞外的移动方法不遵循周知的胞内运动规律。
2. 6009-Catena形成的原因与方法:显然,由于线粒体在细胞功能上的角色,6009-Catena与其包围的神经元存在持续交互,但我们不清楚此种交互的细节。我们也可尝试调查是否能够在6009-Catena的形成中找到任何规律。
由于6009-Catena是SCP-6009的核心要素,且其关联与功能均属未知,我们需要神经科学方面的专业指导,从而更好地为6009-Catena,以及其与脑部可能存在的交互建立模型。
存档附录:下列从维吉尼亚计划存档的通信与SCP-6009的早期研究相关。请注意,它们可能包含过时或不准确的信息。
2010年10月5日
Site-84
日本福冈
蒋渭火博士您好:
我是冈见亮辅,Site-84神经科学部的3级研究员。他们安排我和你在这个项目上合作。我已经看了你发来的SCP-6009材料,还有你对6009-Catena的形成做出的假设。
我研究神经科学很久了,但这是我第一次听说大脑里面的这种结构。所以显然,第一个问题是:千千万万的科学家怎么全部错过了它?
我知道你提交了一份跨部门合作申请,因为你觉得神经科学部的人能帮你对6009-Catena建模。传统的MRI和PET扫描已经足以绘制大部分6009-Catena所附着的脑部白质,所以还有哪里需要进行修改?请详细说明。
请速赐答。
冈见
2010年10月20日
Site-168
台湾新竹
冈见博士:
很高兴与你合作!我基因学部的同事们对SCP-6009项目并不很有同样的信心。
我发现6009-Catena纯属偶然;我的团队在研究SCP-3966,在新感染的受害者身上发现了微观尺寸的网状结构。我们觉得这是有关联的,但是对与SCP-3966无关的死亡D级进行的检查否定了这一点。这种结构太微小了,只在TEM5下才看得到,所以它很难发现。但你一旦知道该去哪里找它了,它就显得无处不在。
我们试着在实验室里让它复制,从来没成功过。同样,显然,线粒体不应该在细胞外独立存在,这就是为什么即使暂且无视它们造出的阶梯结构,这整个状况也让人困惑不已。
根据初步的荧光成像,它分布在整个大脑的白质中,有着自己的连接架构;它们在一些神经接头处形成了某种微型结点。我没有足够的神经科学知识来理解它们。
还是根据成像,它独立地在身体里移动,而不依赖驱动蛋白或任何通常的方法。它类似蠕动进出大脑,但它在6009-Catena中最为活跃;它形成一个节点的网络。我们明显不能在活体人类中观察它,但你仍然可以在人死后的几小时内大致明白它在干什么。
我猜测它的运动性和它那些少见的基因有关,这些基因通常被忽视,因为异质性被认为是基因垃圾。这可能是我在想出更疯狂的想法之前需要排除的第一件事。
我目前在找有没有什么测序方法能给我们这些信息。全基因组测序感觉比较接近,但实际上它做不到。有什么建议吗?
SCP-6009的两点主要异常并不那么惊天动地,但它们肯定与现在的化学或生物学认知不符。我觉得如果深挖SCP-6009形成6009-Catena可能的科学机理,我们也许可以确定它确切的起源?
我认为运动性和Catena的形成是相互交织的,但愿解决了其中一个就能解决另一个。
如果你对合作不感兴趣,拒绝也没关系——你不是我第一个联系的人,我已经把这份合作申请提交到神经科学部许多次了。甚至最早看到这网状结构的珍妮·谢Jenny Hsieh博士——她也是神经科学家——都说这不值得深入调查,但我觉得我们要发现些好东西了。
蒋
2010年11月12日
Site-84
日本福冈
蒋渭火博士您好:
我对细胞生物学不甚精通,而且这些可能说不通——但是你在初步报告中提到的异质性差异是否可能是SCP-6009的异常?我之前读过的一篇文献说他们近期发现了某些在RNA剪接过程中删除的、之前被认为无用的内含子在mRNA降解中可能起到了作用。
这种方法可能吗?我知道一个线粒体包含数百个环状DNA拷贝,考虑到异常所占的比例极小,这将会是一场噩梦。全基因组测序已经将线粒体DNA包括在内了,所以你的新方法是什么?
我和谢博士碰到过几次,但和她不熟。
至于合作,我现在手头没有什么重要的项目,所以我对这个提议很感兴趣。
我并不完全确信我们能对SCP-6009做些什么。我还是有些微怀疑,但还是很高兴能进一步合作——这个项目有名字吗?
请速赐答。
冈见
2010年11月29日
Site-168
台湾新竹
冈见博士:
太棒了!我非常高兴听到有人终于愿意接手我的宝贝项目了。
我命名这个项目“维吉尼亚”,依着维吉尼亚密码的名字——说到底,我们正在破译一个谜团,不知道前面有什么在等待着我们!密码学让我着迷,但我的计算机科学奇差无比。基因学基本上就是生物密码学,不管怎么说。
总之,我附上一些信息,关于你如何从脑组织样本中看到6009-Catena。暂时还没有找到在活人中这么做的方法,但是这块就是你的任务了。
一旦你知道了该找些什么,你应该能够看见它;我不觉得有谁曾经意识到过这样的结构存在于我们脑中。
又,请叫我维利!叫我的全名听上去好像我是什么已经死掉的政客一样。
维利
2010年12月2日
Site-84
日本福冈
维利:
好吧,很高兴见到你。你可以叫我亮。
我照着你的方法做了——相当可圈可点,但又那么微妙!为什么没人想研究这个?这是相当大的医学发现。
关于绘制6009-Catena区:传统的MRI和PET扫描确实能够对SCP-6009聚集形成6009-Catena的白质区域成像。我觉得我能通过细胞质排斥搞清楚些东西,这样我们就可以开始了。
我的同事麦克尔·阿奎纳多Michael Aguinaldo博士说他可能从他参与过的怯薛探测器项目早期阶段中获得了一些想法。但是SCP-2669的文件是受限的,所以阿奎纳多博士说他在参与我们的计划之前需要先向山高Yamataka主管报备、等待批准。
世界连接组计划刚刚发布了他们最新的白质束成像模型,但对于我们的目的而言不够精确,还忽略了大部分6009-Catena所存在的神经间区域。不过我还是会去研究一下的。
你的站点有MRI机吗?我们的那台刚才——又一次——坏掉了,所以我只好每天乘火车去大阪。以Site-84情况来看,它永远也修不好
请速赐答。
冈见
2010年12月28日
Site-168
台湾新竹
亮:
听上去不错!阿奎纳多博士想加入我们团队吗?
下面是我称为ChOMP-Seq的技术的大致概况。它基于我们过去研究SCP-2946的基因组摄取效应原理时的一个被废弃的支线项目……没想过我还能为它找到用场。
可以看到,这是一种相当有趣的测序法。它看上去能工作,但是由于需要进行平行测序和扩增时需要更多监控,它给了我们很多无用的数据。
我明白你的站点也遇到了麻烦……我们的仪器还好,但我们站点实际上只分配到了四个D级人员。为了做一些初步比较和序列比对,我只能从几个初级研究员和我自己身上采了DNA,只是为了看看ChOMP-Seq是否真的有效。
希望我对更多D级的申请能通过,但我很怀疑这点。
维利
2011年1月5日
Site-84
日本福冈
亲爱的维利:
明白了,相当聪明。
你真好!ChOMP-Seq是个朗朗上口的好名字,但我不知道我是否应该对被列入其中感到高兴——毕竟我只是提供了一点小建议,它主要还是基于你的工作,而且是你做了全部的测试。
能不能让ChOMP-Seq输出更标准的格式,比如FASTQ或者VCF,或者甚至只是.txt文件?Site-84的电脑非常过时,似乎没法转换或者读取你的定制CSQ文件。
阿奎纳多博士有其他项目要忙,但是他愿意帮我搭建6009-Catena模型。他拿到了使用他之前工作的许可,所以我们这边没问题了!你现在应该能从我们的硬盘上看到一些D级人员的Catena网络,看看这些是不是你想要的。顺便说一下,每个文件都很巨大,但那是没法避免的。扫描花了大概二十分钟,但是之后生成模型花了我们电脑整个下午。好吧,如果我们的电脑不是二十年前的,那么它本不该花掉整个下午的。
请速赐答。
冈见
2011年1月20日
Site-168
台湾新竹
亮:
想出好玩的名字和缩写是我打发时间的方法……有点可怜,是不是?你的名字又以元音开头,这为一大堆命名方式铺平了道路。ChOMP-Seq比任何随机字母组合都要上口易读。然后,FASTQ应该能用了,你应该现在更新到最新版。
我看到了神经映射文件——我觉得你在最初的扫描之后应该要把结点的分布纳入考虑,但是白质束成像就是我要的那种。
又:无意冒犯,但我觉得“请速赐答”应该不太对?你是不是想写“请速赐复”?
维利
2011年2月20日
Site-84
日本福冈
我的中文不是很好……我这么说很多年了,因为我觉得那是恰当且礼貌的。从来没人在那上面纠正我……我极少像这次一样觉得尴尬,所以那对我来说不是什么愉快的感觉。
如我们之前讨论的一样,下面是介绍6009-Catena映射的示意图。我要把这幅图给山高主管看,来让他给我们项目分配点资金……SCP基金会是如此庞大又强力的机构,想从它们手里榨出一点钱来总是那么痛苦。我肯定不会羡慕基金会会计员的生活。
图是我自己画的。很遗憾,它有点粗糙,但我觉得能说明问题。我把它发给了我们的绘图团队,但我不期待他们能及时回复我。
ChOMP-Seq的更新修复了我说的问题,你是怎么做到的?我以为你不懂电脑?
冈见
2011年2月27日
Site-168
台湾新竹
喂,我又不是完全傻瓜,我确实知道点东西。
好吧,你抓到我了。是珍妮修的。
维利
2011年3月1日
Site-168
台湾新竹
亮:
你和山高谈得怎么样了?
找人修好MRI应该不麻烦吧?
维利
2011年3月7日
Site-84
日本福冈
维利:
山高主管批下了资金,而且他真的在认真听我的报告,出奇地专心。我从来没见过他对我做的任何事有这么感兴趣。说实在的,我感觉他当初把你的项目交给我,是因为他本来觉得它会彻底失败的。
他给我指点了一些改进模型的方法,但也问了我们是否考虑过与信号通路有关的基因,它们有可能导致了SCP-6009的运动性或6009-Catena的形成。我不觉得我们考虑过这些,对吧?在体外无法观察信号通路,我们是尝试过的。我们每次培养时它们都死了;它们确实有可能起源于细菌,但又需要游离核糖体和核基因之类才能生存。Catena网络肯定在影响着它们与神经元的交互。
冈见
2011年3月10日
Site-168
台湾新竹
很有意思,他竟然提到了信号通路,因为我确实在和珍妮讨论这件事……她不肯向我透露她在研究什么,但是她同样地提到了化学信号通路。实际上,她建议我提出一项与纳米技术部的合作申请。
她提出了一种“体内神经观察枢”的想法——我其实不太懂她的意思,但是这听上去很酷,所以我加入了。
如果有新消息我会告诉你的。
维利
2011年3月25日
Site-168
台湾新竹
亮,有些滑稽的东西——我看到一位“松永裕子Matsunaga Yuko博士”被允许和我们合作,我觉得她会到你地方去,但是显然……她在台湾。她已经在Site-168待了两年了,我却从来没遇到过她。我们站点不应该有这么多人吧。
她在这里其实很合理,因为我们站点是纳米技术的中心,但我就觉得这很滑稽。
我们刚刚共事一周,她已经在蛋白质基探针的想法上做出了很大的改进。我现在正研究绿色硫细菌中的一种绿色体天线复合物……我们要看看这会有什么结果。
她在她的专业上很了不起,亮。我觉得你肯定很想见见她。
维利
2011年4月15日
Site-84
日本福冈
维利:
我确定我以后会见到她的。
我有些重要消息:山高前几天来告诉我说,大概一个月后,五月初,生物科学峰会要在成都召开了。他让我在那里对我们在维吉尼亚计划上的成果做报告,他也许能给我们排出一个小时的时间。他想让我们团队成员一起见一面,所以如果你来的话,我和阿奎纳多博士也会在那里。
我觉得他只是想让我们介绍6009-Catena连接组学网络,但我记得你好像说过松永有些充满潜力的东西要展示?如果我们能展示它的话,那真的会很让听众印象深刻。
冈见
2011年74月18日
Site-168
台湾新竹
啊,如果山高主管能给我们抢一个位子那就太好了。我一直想去四川看看。
我觉得我们正在搞的探针-枢设计……差不多能工作了?我们在手头的D级人员上得到了很多前景不错的结果。松永和站点陈主管一起施了些魔法,然后我们就有大概40个D级了。真是个创造奇迹的人。
我说的“差不多能工作”意思是,它能给我们期望的结果,但同时有着巨大的缺陷,你从下面的文件里能看到的。
我们试着进一步改进MH枢,但最大的问题还是信号传输。那些导线造成了全部的问题,因为它根本上说是头颅上的开放伤口,所有D级都抱怨它很不舒服。我们发现,确实没有透过精密的骨肉传输太字节数据的简单方法!
我不很喜欢这几个缩写,但是由于松永是今天的主角,我对她拿到命名权也没什么异议。
你应该马上能在我们的服务器上看到相关文件。对了,我们全部会去研讨会。
你知道,我们已经合作了好几个月,我才刚刚想到我甚至不知道你长什么样……我敢说,你真人肯定比基金会人员档案上的照片好看。
维利
2011年4月27日
Site-84
日本福冈
维利:
山高看起来很震惊。
我把它理解为“是”。
我们成都见!
冈见
2011年5月14日
Site-84
日本福冈
维利:
抱歉我一周都躲在会议中心,辣的饭菜对我影响挺大,我不想冒这个险。可能下一次,当我们在一个对我的胃更安全的城市时,我会加入你的。另外,在一个我语言不太熟悉的国家,我不太有冒险精神……但是古城那边真的很美!
不管怎样,在你进行城市探险时,山高带我和松永博士去见了埃弗利特·曼恩Everett Mann博士。
曼恩博士对我们的探针项目很感兴趣,他和松永对探针设计和植入进行了一番相当激烈的讨论。但是,他特意找我们谈维吉尼亚计划的事。他听了我们的报告,维利!
曼恩对我们的计划产生了兴趣,他认为我们做的事可能会带来些重要的东西。实际上,他已经主动要求为这个计划设立一个新的部门,想让我们明白自己是否愿意。
另外,他说我们的合作模式很崇高但是很低效。他说,他为我们在两个资金不足的站点通过互发邮件一并工作取得了这样的成果感到很佩服:可敬,但一点都不高效。他说:“蛮干不如巧干。”他说我们不如在同一个站点工作,他已经向一些他认识的站点主管发了通知。你可能马上就会收到邀请。
可能马上会有更多人加入我们,因为我们就要成为一个正式的部门了。新的部门总是备受关注。
他说他申请了“线粒体研究部”的名字,但即使无趣如我也觉得这是个傻名字。我不像你那么有创造力,你能想个更有劲的吗?
冈见
2012年1月1日
Site-168
台湾新竹
哇,这真的是……要消化的东西好多。当然,我已经同意建立部门了!啊,所有人中,竟然是曼恩博士成了我们的大恩人。
我拿到了不少邀请,但是唯一有意思的是Site-234的利普·安德鲁斯主管在听说我们计划成立部门以后发来的。他说我们的工作在他那里会是很顺利的!他的站点处理了很多生物异常,对新创立的部门可算完美。我读了站点档案;那里的仪器和设施简直……太诱人了。
如果你愿意搬的话,我会告诉他的。你的团队准备好搬到美国吗?我知道珍妮现在很激动,因为我们马上要成为新部门的一部分了。有趣的是,本来我和她可以成为SCP-6009所有这些突破性工作的创始人的……我想,损失是她的!
关于我们的名字,“纳米生物组学部”怎么样?短促,简单,有力;最重要的是,之前从来没听过——就像我们维吉尼亚计划的工作一样。
Waley
2012年6月8日
Site-84
日本福冈
我喜欢。站点,名字,全部这些我都喜欢。
又,在中国的时候,曼恩博士问我是否想做部门主管。曼恩警告了我要承担的那些责任,要做的那些艰难决定……我肯定还没准备好。
你远比我对计划更有动力、更有激情,你绝对是我见过的最出色的基因学家。
所以,向你问候,向你致敬,蒋主管!
冈见
2012年7月29日
Site-234
亚拉巴马
亮:
你知道,我不打算撒谎,我对于你把主管的工作丢给我有点不爽。我也没准备好承担这份责任!你本该先问问的!
但是我已经原谅这些了。教皇维利赦免你所有的罪行。去吧;从今以后、不要再犯罪了。8
我原谅你,因为Site-234是……可以说,是一切。
这儿的初级研究员,不需要你吼,也能正确进行PET扫描。这儿的测序仪,不需要你每分钟看着,也不会随机地挂掉。这里的培养箱甚至都没有培养基的臭味!我觉得这几乎是不可能的。亮,我们有了自己的实验室,不再需要共享冷藏箱,我的实验也不再会因为某些外星生物学部的傻瓜弄出来的交叉污染而失败了。
还有,雪莉和利普他们人真好!他们都等不及见到你了。
这感觉真的是一种奖赏。我们成功了。
说回正题:这就是松永和珍妮过去几个月一直研究的东西。我觉得松永说过曼恩博士和她在中国讨论的时候有一个解决数据过载的大有帮助的想法。我根本不懂纳米技术,但是我有很好的理由认为它运作良好,正如你在下面看到的一样。
所以,没错,不再需要难受的输出端口了。
如果你来了,你也会喜欢上这里的,亮。或者,应该叫冈见助理主管。(恭喜,致意,诸如此类——不能指望我一个人处理所有事情!)我需要我身边有个可靠的人。你是没法轻而易举地逃脱SCP基金会臭名昭著的官僚事务的!
太棒了。我感觉我们的辛苦付出终于有了收获。
维利
2012年8月9日
Site-84
日本福冈
维利:
等不及来看看Site-234了!不幸的是我不得不再缓一个月前来。阿奎纳多倒是会马上到你那里的,我会让他带点你非常喜欢的红豆麻糬来。
我要再留一个月,因为我需要结束我对手上几个D级的观察。曼恩博士在日本,他到Site-84来谈我们的新部门。松永和珍妮正在研究的那些探针?那其实是他在研讨会后不久给他们的建议。珍妮终于从台积电新发的一篇半导体文章找到了突破的方法,所以当他们终于成功的时候,曼恩就想和我一起研发一种新的植入方法。我们一周前试了些东西,然后他最后修订了他的术式。我……不太对新术式感到特别兴奋,但是它和我们已有的相比已经有了巨大的改进。
如你所知,MH枢的输出端口是这本来巧妙设备中唯一笨拙、易错的部件。其一,它说到底是一个穿过你脑膜的开放伤口。其二,外科伤口的愈合通常很痒,所以D级显然会试着挠它……尽管导线在头皮下做了锚定且无法拔除,在它上面牵拉依然会影响到些什么。
曼恩的手法……你还是自己读读吧。
曼恩想出了OMNI这个缩写,他真的很好。我实际干的事,不过是在实地测试这些技术的时候问出很多愚蠢的问题。大部分我的贡献都在文档末尾的问题部分。
我做了不少术中脑部扫描,但是从来没有同时使用两台内窥镜。同时因为D级是清醒的,你可以看到他们盯着你看。对我来说不怎么有趣,但对于手术台上的可怜家伙来说肯定更不有趣。
记忆删除剂会搅乱你的神经映射和记忆形成;正因这些对6009-Catena至关重要,我们非常、非常不幸地无法运用它们——也许这也是维吉尼亚计划中的另一个研究方向?
D级显然厌恶这些手术,但是他们再也没有报告之前出现的偏头痛或头痛了。既然没了输出端口,我们也不需要担心他们会去挠它。我们的心理学专家说没有可观测的行为变化,这对我们的研究很不错。允许他们去做其他事情实际上给我们提供了更多观察SCP-6009与核基因型交互的机会,同时也有助于缓解Site-84稀少的D级配额的麻烦。他们分给了我们更多人,因为那是曼恩博士在发申请,但是Site-84就是没有那么多空间。
我在能去美国前,下个月还要待在这里,因为我要做完对他们的术后观察,同时搞些术前和术后的6009-Catena映射。
我没法告诉你我有多么想离开这坨垃圾站点。我喜欢山高,但是我绝对不会想念小小的84。
期待马上见到你,见到我们纳米生物组学部的大家庭。
冈见
2012年8月25日
Site-234
亚拉巴马
好事多磨。你会喜欢这里的,亮。
谢谢带来的点心!在亚拉巴马很遗憾的一点是这里哪里都没有任何亚洲菜系的好餐厅……但是这里的牛排便宜可口,所以我感觉,有得有失。
我很高兴曼恩帮你解决了新植入物的问题……哇,我读起来就不太舒服,我甚至都不敢想它是怎么实施的。
探针很重要,而且最无关部分导致了最多问题的事实一直在让我烦恼。我听说在输出端口周围会钻心地痒,所以解决了这个问题真的很不错……但这不怎么是我预想的解决方案。
无论如何,我现在准备开始写一篇关于VGWAS和ChOMP-Seq与6009-Catena映射聚簇的关联方面的文章。我正在研究一种新的数据分析方法,我和目前在我们部门里细化模型的一些人碰了面。
我当下研究的一部分是如何消除统计噪声——维吉尼亚计划中的一个大难题是,当我们滤掉了常规基因以后,就没太多有用的数据留下来了——我们研究的基因和蛋白质以极微小的量存在,但是影响却非常大。
你觉得怎么样?我们发现了关于特定通路和基因型的前景光明的结果——我觉得最有意思的是,无论D级人员的人种、基因材料或家庭历史如何,具有MT-A3基因的线粒体DNA总是占大多数的。尽管大部分人都确实具有MT-A3基因,我至今只看到过MT-A3与特定的染色体基因交互:LRI3、PFO4、CRW2和其他少数更不常见的基因。
也有其他几个次级基因簇一直出现——并在,比如说,吃某些特定食物或者进行特定活动的时候激活。不知道那是什么。
说到D级,你试过在手术时把他们的眼睛蒙上吗?他们就不会看到两个弯腰在他们脑子里干活的医生了,那难道不会让他们感到更不恐惧吗?
维利
2012年9月1日
Site-84
日本福冈
维利:
你可能这么觉得,但是我们尝试之后,在所有对象中检测到了更高的基线压力。我认为那是因为看不到正在发生什么会让情形变得更恐怖……我一直觉得我有义务在手术过程中一直道歉。很明显,曼恩倒是和黄瓜一样冷静。
总而言之,我很高兴地说:OMNI术式允许对象完全恢复,而且绝对应该代替我们的原始设计。
我明天就飞过来了。我真的非常、非常高兴,我们可以线下合作了。再也不用发一连串邮件了。
冈见
2013年4月8日
Site-234
亚拉巴马
亮:
今天一个伦理委员会的代表在没有预先通知的情况下见了我一面。
你14号那天有空吗?他们想观看OMNI术式并且评判它在平民对象中的适用性。那天谁还有空来搭把手?我想麦克尔那天没时间,所以也许是格雷厄姆?如果你没空的话,我觉得迪保尔或者拉斯金都可以。
如果他们批准的话,我们就可以借助基金会在亚拉巴马大学伯明翰分校的联系人作为前台,来与其他大学与研究机构合作,获取更大的测试对象池。我们用D级数据已经差不多到顶了,所以我很高兴能有些新的对象。
下面是我还没写完的关于D级的草稿……说实话我也许应该直接把它扔给那些新人。我还没太多看过那些数据,因为我的日程上全是面试。
虽然文章里面没写,但是我们暂且将其称为D聚簇,因为它大概在我们80%的D级数据中出现,他们没有相似的基因历史或背景。但是MT-L2和MT-F5在他们几乎所有人中都是一致的,都导致了相同的UP4交互,结果是产生相同的6009-Catena。如果是巧合的话也太奇怪了,这就是他们在D聚簇中的原因。他们也是更加暴力的一群人;冷静的人看上去没有这种基因交互。
我怀念我还在搞研究的时候,亮。我现在大部分时间都花在这些事情上:处理合作的后勤工作、批准测试、面试那些想转到我们部门的人、和利普与雪莉讨论仪器升级……我们正从其他想要加入纳米生物组学部的站点迎来一大批人!讽刺的是,对吧,我们到亚拉巴马来,本来只是为了能在一间屋子里成为一个团队……
我很高兴纳米生物组学现在是热门,我对此非常自豪,但我也太忙了……维吉尼亚计划是我们的孩子,我们却无法再掌控它。我对它的每一部分都无比骄傲。
维利
2013年4月12日
Site-234
亚拉巴马
维利:
我没有申请过针对大众的应用,我为什么要这么做?我确实同意平民样本能够极大地扩展我们的研究范围……同时,平民受试者应该通常是自愿参加的?那么至少比我们对那些D级做过的事要好不少。
我有空展示OMNI。我会带格雷厄姆去。
我看到他们宣布了下一次生物科学峰会11的地点——5月10号到5月17号,而且今年这次在京都!你能相信,去年我们还要向山高求着要一个小小的位置吗?今年他们邀请我们去做主旨演讲。只有你我要上台,代表新兴的纳米生物组学。
我喜欢京都,我也很了解它。感觉人们认为它只是老寺庙和老街,但是其实不止这些。我一般不太喜欢在自己国家旅游,但是只是为了你,维利,我要带你逛逛。这是我为在成都逃跑的赔礼。
我们最近真忙啊!这将是我们工作之余良好的休息机会。
冈见
2013年4月25日
Site-234
亚拉巴马
亮:
抱歉没能很快回复你,我真的需要睡一会。我忘了你的邮件,但是我现在从伦理委员会哪里收到了一条关于OMNI的消息。所以,恭喜!我觉得利普会负责把你的合同弄好的。
然后,棒极了!主旨演讲!我甚至都不觉得它会在我最狂放的梦里出现。
然后这里是一些能让他们吓尿的东西。它在我的口袋里已经放了一段时间了,但现在我觉得我有动力把它最后完成了。
这应该是对维吉尼亚计划的一次重大更新。我觉得这会让一大群人疯狂,因为这对我们已有的“线粒体夏娃”的概念做了根本修改,但我想我们的理论是最合理的:一种格外坚强的细菌,或者是某种早期人类祖先的线粒体,通过某种方式在演化早期扩散到了人类全体。
当我们看到了大部分线粒体蛋白质由核基因编码以后,难道SCP-6009可能存在调控其他核基因的机制,从而在根本上促进人类进化的理论,不是非常合理吗?
当然,人们会很沮丧。只要听听“新内共生”这名词读起来有多宏大就知道了。我要去研究一下科考夫博士搞的分子钟比较研究。但是别告诉他。行政工作很累人,我确实感觉到我已经从我们习惯的实验室生活中脱节了。已经有段时间没写文章了。
我想让你加入这项研究,只有我们两个,回归基本。
我已经好久没有休过假了。我知道京都是一个神奇的城市,但是和你一起去的话,这将会是一场难以忘却的旅程。
维利
2013年6月1日
Site-234
亚拉巴马
亮:
我依然对你带我环游京都感激不尽。研讨会已经是一项爆炸性成功了,那次旅游就是我们应得的胜利游行。你真的让我从新视角看到了世界,我们应该时常这么做;实际上,我们住在同一个站点,所以为什么不多去一起走走?看看美国有什么等待着我们去发现!
还有更多好消息:我刚刚去和利普,还有蒂尔达·穆斯Tilda Moose开了会。你听说过她,对吧?她一直是Site-17的主管。
穆斯主管也听了我们关于新内共生理论的主旨演讲。她对此非常感兴趣,说她有一个高度机密的物种想让纳米生物组学部研究一下。它是目前仅剩的既有类人智能又有高度相关演化历史的物种。那是穆斯主管早年间遇到的东西……她认为让我们看看一个与人类高度类似的物种是否同样具有SCP-6009或者类似结构,对我们的新内共生理论很有意义。
但那不是她亲自前来的原因;她来是因为她说监督者议会对我们的部门产生了兴趣,希望我们将总部从Site-234搬到Site-17。在Site-234这里,我们主要处理微生物学和生物化学之类的东西,你可以安全地把它们放在培养皿里;但是Site-17,好吧,我们都听说过关于那里藏着的东西的传说。我甚至不知道哪些是真的。她说我们一接受邀请就能知道。
当然,对于我们的麻烦,穆斯主管向我们保证了更好的补偿,更新的设备、更高的权限等级、诸如此类。最重要的是,他们最近在做设施扩展,我们会在新建筑里面有自己的翼区。
我觉得Site-234已经很奢华了,但是Site-17……在我们自己的翼区……我真的不知道该怎么回复了。作为我最信赖的同伴、这趟疯狂之旅上我自始至终的好兄弟,我想听听你的想法,利普说他真的会想我们的,但我又怎么能拒绝呢?
维利
2013年6月3日
Site-234
亚拉巴马
维利:
Site-17?哇哦,那真不是我之前期待的。
我甚至不知道,如果O5开始对我们有兴趣的话,我们能否担得起拒绝的代价。
你一直是一个友好大方的人。一直在那里,不仅仅是我见过的最出色的基因学家,还是一名挚友。
没了你,我不觉得我们的部门能够发展成现在这样的强大组织12。我们真的能相信我们两年半前才第一次遇到,并且开始维吉尼亚计划吗?我感觉这次疯狂旅程已经是我的整个人生了。
我们才到这里……十个月左右?感觉远远比那长。我肯定会想念雪莉和利普的。至少,我们的整个部门仍然在一起,我们奇妙的小家庭现在已经变得这么大了!
冈见
2013年6月8日
Site-234
亚拉巴马
亮:
感谢你说这些友善的话。你也一样!如果没有你,我现在估计还在自己站点做些天知道什么事……
我回复了穆斯主管,但是她说她已经批准了我们的转站申请,因为我们明显不打算拒绝邀请。说实话,这件事实在太好了,我甚至无法拒绝,谁不想要这样的晋升呢?
他们还在建新的翼楼,但是穆斯主管已经给了我们到那里能看到的所有文件的安保权限。你应该也有权限了,因为你是助理主管。
在那里,我们有不少诱人的事情可以做。你只要看看那里的人形异常就知道了。我感觉像是一名睁大眼睛的初级研究员,会对最平平无奇的东西感到困惑,这种感觉真是新鲜刺激。
我马上要去Site-17,去解决一些文书工作,再看看新翼区是否合我们的需要——我现在要暂时离站出差,因为我想做一次无缝交接,所以你可能需要接管一段时间了。
维利
2013年6月10日
Site-234
亚拉巴马
维利:
我们已经在一起工作一段时间了,但是读着这些……这是我生涯中第一次,感觉我终于,真正地,成为了基金会的一员。
我现在正在回顾我们有权限访问的东西。我觉得SCP-2828应该有关——带逆模因性质的遗留器官!我有些关于从捕食者口中保护我们的演化机制来源于SCP-6009的理论。记得那些你研究过、导向了SCP-6009的发现的SCP-3966应激吗?也许对于那些四维蜘蛛也有基因基础上的保护呢!
总之,我们一同进化,如果新内共生理论成立的话,这将是共同进化的一个标志。很奇怪,只有人类有像SCP-6009一样工作的线粒体……而且由于穆斯主管申请了,我现在终于可以读文件了,SCP-1000会是一个很棒的垫脚石。
或者,我们现在有一整套从纳米生物组学上的生物学新范式,我们可以研究一下SCP-1237,它的基因学和神经学。维利,它正求着我们去研究它呢。如果我们能够弄清楚任何一个异常的基因学或分子基础的话……
基金会真的是一个大宝库。
我很开心我们踏上了这场疯狂之旅。
冈见
2013年6月18日
Site-234
亚拉巴马
维利:
我现在有这份未完成的早期草稿,你应该看一下的,关于现实扭曲者——想到它们的话,我们还没有在人形异常身上做过测试。而且Site-17以有大量这些东西闻名!我从没在人形SCP上做过脑部扫描呢,试着绘制6009-Catena的映射,并看看它们的聚簇是否和正常人类一致,这肯定会很有趣!
我之前还没遇到过现实扭曲者呢,显然我们在能接触它们之前有些培训要做。我已经把开始时间注册到了我们到达Site-17的那天,要帮你也注册一下吗?
抱歉,我说得有点上头了。
冈见
2013年6月29日
Site-17
内华达
亮:
我很高兴看到你如此激动!基金会在迎接我们的到来时不吝重金,我已经和所有这些部门的负责人见了面,他们都想与我们建立好感!所有这些领域和部门,都是我连做梦也不敢想着打交道的。说实话,我这周碰到的人比我在Site-184的四年里碰到的都要多。
没错,请帮我注册一个现实扭曲者研讨班。在这些站点里面有真正的力量与危险。有一天我不得不参加一次收容突破演习,他们这里对此看得很重。再也不能在演习时睡过头了,亮!
无论如何,穆斯主管给我看的新东西之一,是麦克尔和松永申请的这个系统。显然我批准过这个?我不太记得了,但它的设计相当巧妙。简单来说,它接受ChOMP-Seq数据,并尝试在我们从VGWAS得到的聚簇数据中找到最佳的匹配,然后我们就可以向前推算出6009-Catena区在连接组学映射手术之前的样子。
我感觉看我自己的信息会很有意思。还记得我们搞内测版ChOMP-Seq的时候,我们用完了测试对象,然后我不得不用自己的DNA序列测试吗?我的基因型还在维吉尼亚计划的文件夹里,所以我把它扔了进去。显然我们还有很多工作要做,但是我的信息已经显示了GPK2/MT-UE4、ABCC11/MT-FR2、O-M122单倍群,将我归类至群众E-38“激情的”和E-20“好奇的”两个聚簇中。我能看出穆斯主管有点怀疑,但是我向她保证它唯一不准确之处在于我们还没有对它进行精细调优。我告诉她,希望在未来,我们能够更精准地将基因信息与心理学信息更好地关联。
这对于预测人们最终会落于哪一个心理聚簇中是相当有用的,而且不需要实施OMNI术式!显然,还有很多工作要做,但我们也许马上就能让这种可怕的技术退役。
抱歉我没法马上回来——我想你了!请继续帮我坚守阵地。我信任你的决定,为纳米生物组学部做到最好。
维利
2013年7月7日
Site-234
亚拉巴马
维利:
啊啊啊,我也想死你了!
我真想亲自过来看看,但我要处理很多人员转站的文件。我们部门下面什么时候有一百多人了?
有时候我真的很幸运当时被分配到维吉尼亚计划。
你和我,我们都有着平凡的科学背景。没有人厌恶神经科学或遗传学。我们一直在做的事情都围绕着正常的科学:没有超自然,没有古神,没有秘密结社。我听说过基金会其他地方发生的魔幻故事,而且我很羡慕他们。
我们创造的这些工具,是我们自己的魔法。我再也回不去了,现在我知道我们自己的大脑里有什么,它们蠕动着。它们想干什么?它们是怎么做到的?SCP-6009的异常是朴实无华的,但当我们深入挖掘、试图找出是什么给了它这种奇怪的优势时,我们却发现了一整个全新的范式。
我们要用我们的项目改变世界了。我能感觉到。
不过,我们在Site-234全都很想你!我在这里需要你。雪莉一直在问起你。你在哪儿?
冈见
2013年7月13日
Site-234
亚拉巴马
维利:
伦理委员会的人来通知我们处理胎儿对象时的准则,因为感觉我们现在要拿到这方面的许可了?
这变得有趣了……我不敢想OMNI术式能用于胎儿或者婴儿,我也不会用小孩子来做这种实验。如果我们能让它的创伤更小,那么它可以终于被用于第一手确认6009-Catena在大脑完全发育以前是如何形成的了!
我真的需要你回来。合作与转站申请现在正铺天盖地,因为我们要搬到Site-17的消息已经传开了。
我们想你了!
冈见
2013年7月24日
Site-234
亚拉巴马
维利:
心理学部的格拉斯Glass主管昨天来找过你,他说他很想发起一个大规模的合作请求。有人告诉了他关于我们生成的标签有多么不准确,他派人调查了我们的聚簇方式——他说他很痛苦地发现我们没人是学心理学的,而且我们目前的聚簇标签就像星座预言一样不准。
我不想在这上面越俎代庖,因为格拉斯主管是位大人物,而且他特别要求和你谈谈。我告诉他,你目前离站出差,但当他们问我你什么时候回来时,我却找不出很好的答案。
请速赐复。
冈见
2013年8月10日
Site-234
亚拉巴马
维利:
你收到我上封邮件了吗?
请速赐复。
冈见
2013年8月17日
Site-234
亚拉巴马
亲爱的维利:
如果我做了什么让你不高兴的事,请你原谅我。我想我一直对你很友好,但我不知道为什么你却一直无视我。
我知道你还活着,因为基金会一般不会把这种消息当作秘密。一个死去的主管必须尽快被顶替以保证工作的正常进行。我知道你没有被调走、或提拔、或降职,或者任何其他什么。因此,你保持无线电静默的唯一原因是:要么Site-17被从地球上抹去而没有人发现,要么你在故意无视我。
我们需要你,维利。我不会说纳米生物组学部是一个烂摊子,但你不在了就肯定变样了。你抱怨说你已经很久没有进实验室了,但你仍然是我们的项目负责人,而且你对如何进行维吉尼亚计划有这旁人少见的大局观。你不需要摆弄设备和图表并不意味着你的贡献不重要。你还是一个杰出的遗传学家,基金会的官僚再多也无法夺走你的学识。
需要你的不仅仅是这个部门,我也需要你。我接手这个项目时,我很怀疑、很害羞。我差不多没有感情,没有冒险精神,很少感到兴奋。我知道我很善良,很有爱心,但我并不想表现出来。你打开了我的心扉——不仅仅是在科学探索方面,而且唤醒了我心中连自己也不知道的某些方面。
我不认为我有像你一般亲密的朋友,维利。而且我不想失去你。或者,最少,请礼貌地告诉我,为什么你决定离开。
维利,你不仅仅是我们的主管;你可能是这个部门唯一比我更了解SCP-6009的人。我们需要你当我们的主心骨。
回来吧。
纳米生物组学部需要你。
我需要你。
亮
来自基金会记录与信息安全管理处的通知
下列文件因以下原因在RAISA数据库中被标记为“需要复核”: 人员状态不准确
由于部门主管的请求,下列文件将被 删除
2013年8月20日
Site-17
内华达
亮:
很抱歉我离开了这么久。我很安全,不用担心。
你没有做错,道歉的应该是我。我待在Site-17有段时间了,没错。我一直忽略你的邮件。我其实读了它们全部,我很高兴你很兴奋!我只是不能告诉你我在想些什么。每天,我都会看着施工队建起新的东西,看着我们现在的新配额,思考如何分配资金……
至于Site-17本身——走在大厅里,你可以感觉到墙壁背后的隐藏着秘密。它给我一种令人不寒而栗的自豪感,就像你行走于历史之中。
我……不知道如何表达我的想法,而且我真的不想伤害你的感情。你越是兴奋,我越是想到我将要告诉你的事情而感到痛苦。你是我最亲密的朋友和知己,所以我想让你第一个知道:
我将辞去主管一职,并调离我们部门。
既然你把这个烫手山芋扔给我,那么我现在把它扔回给你,这很自然。在我调离后,你作为助理主管,自然会接任纳米生物组学部的主管。我想没有人会抱怨,在纳米生物组学部,大家都喜欢你。向你致意,向你祝贺:冈见主管!
我们真的是白手起家,建立了这整个部门。你和我,从两个资金不足的站点开始,把这个计划发展到了难以想象的规模,甚至连“纳米生物组学”这个名词都令人肃然起敬。
我真心为我们部门的每个人感到骄傲——珍妮、松永、麦克尔,甚至新人们——但我要特别感谢你,亮。而且我还记得以前的。我记得就像昨天一样:笨拙、明显拘谨,只是因为分配才来到这里,而且说实话,对我们的项目有点怀疑。三年前的冈见博士和我现在认识的亮没有什么不同。
尽管我们为纳米生物组学建立的东西很宏伟,但SCP-6009本身是平凡的;我们部门发现的所有奇迹,都是我们自己手造的。维吉尼亚计划在很久以前就已经超过了它最初的目标。核心的异常是很好理解的,而随着项目的发展,创造的火花飞溅,从这颗小小的种子上长出了我们当下站立的这个庞然大物。ChOMP-Seq、OMNI、MH枢……维吉尼亚计划真的给了我们很多,不是吗?部里的人们甚至正在搞我根本不理解的东西。我们已经在不知不觉中跨过了某个门槛。
我给你发的最后一封电子邮件里,我提到了穆斯主管给我看的东西:他们正在建立的一台终端。他们甚至还没有给它命名,但我大致告诉了你它的主要功能:我们能够理解神经连接是如何工作的,并根据线粒体基因数据对心理特征进行分类。
这句话有什么让你感到不安的地方吗?
我想你在读的时候并没有真正想太多。我对穆斯主管说的话也没怎么多想。没错,我们把基因组信息和心理信息联系起来,这有什么好奇怪的?这是我们工作很自然的推进。我对这个设计印象深刻,我甚至在想我们可以进一步做些什么……然后我想到了。
我已经可以预见:只要取一个样本,用它跑一下模型,一两天后,泛着光泽的终端就会弹出对象的心理特征和可能的决策。不需要得到许可,就可以将基金会抓来的每一个可怜虫的大脑吃干抹净。而且它对无异常的人类最有效——就是像我们这样的普通人!好吧,现在我们要去Site-17,我们也许能搞清楚它到底是不是真的对人形异常有效。这对整个大家庭来说绝对是件有趣的事!
由于我们一直在做6009-Catena如何改变神经线路的刺激测试,珍妮给我发来了第三代MH枢原型的计划:如果她的计划可行,它将能够借助一个新版植入式CMH探针,在物理上修改6009-Catena的连接。我认为她根本没有意识到她创造的东西会带来什么。
自从我意识到我们在维吉尼亚计划中的发现后,我一直无法入睡。我有很多矛盾的想法,关于终点到底在哪里。在最近的研讨会上,我们甚至把理解SCP-6009所使用的进化策略的前景挂在他们眼前……
它还不完美,但它的可用性足以让我担心。还有,如果性格的形成从来只是基于遗传,这意味着什么?
我暂且称我的立场为“基因决定论”——一个拥有某些类型的基因组交互的人可以被归类至某些行为簇。我知道这是不典型的虚无主义,亮,如果这让你担心我是否理智,我会理解的;但我已经花了很多时间来思考,却依然无法走出这个逻辑迷宫。
我试着说服自己这不是真的。拜托,我们的大脑不会一生都保持不变,这是神经科学第一节课的内容。你并不……生来就是你要成为的人。你的个性是由你的快乐、记忆、创伤、所有这些塑造出来的!外界改变了你!这是天性与教育的争斗!
个人成长只是个笑话吗?人们是否注定要以硬编码于基因中的方式存在呢?
我一直告诉自己,人类错综复杂的思想不可能在那种机器里被分解成分子和数字。但我知道我们在研究什么,亮,你也知道。我们在密密麻麻的遗传密码之下发现了这个隐藏的图书馆,而我们多久能够破译这个图书馆里的东西,只是时间和精力问题。
每一天,我都感到被监视着。我突然敏锐地意识到了我做的一切。我感觉我自己的线粒体背叛了我,虽然我知道这是个完全荒谬的想法。
也许我想多了。有太多障碍需要克服。也许,我们能够破译的量已经撞到了墙,现在这已经是最深入的程度了。也可能,我只是对着虚空担惊受怕,夸大了我们部门的重要性,到最后维吉尼亚计划也不会有什么重要成果。
虽然很痛苦,但我曾想过关闭这个部门。我有(好吧,曾经有)权力让所有人都停下来。禁止所有的研究,埋葬我们的数据,解散这个部门,然后回到我们原来的生活。忘掉这一切——又一个项目消失在基金会的历史长河中。也许还可以把这个扔给一些有网络爬虫的MTF,以确保没有平民能够接近真相。告诉穆斯主管,我们很抱歉基金会在他们的新翼区上花了这么多钱,然后收拾行李永远离开美国。我其实打算给监督者议会发一封信,建议采取这些行动,但后来意识到他们很可能不会以我想要的方式回应。到如今基金会在我们部门投入了这么多,现在我知道为什么了。
我真傻,亮。我真的应该更早看到这一点。穆斯、曼恩、安德鲁、山高……为什么所有这些高层人士都对我们的项目有如此浓厚的兴趣?我可以告诉你,这绝对不是出于他们纯粹的善意,为了推进科学发展。
我不认为他们作为个体有什么恶意……但我对他们作为基金会这个整体却没法这么说。他们可能不知道所有东西背后的科学原理,但他们绝对知道他们什么时候嗅到的是机遇。
我们以为我们因努力工作而得到回报,但实际上,这只是因为基金会认为我们有用。如果我们的发现没有给基金会带来任何好处,他们会对我们的项目投入这么多吗?
这真的有点可笑——你还记得我在还没有“维吉尼亚计划”之前的提出的原始提案吗?我列出了两个目标:调查这些讨厌的线粒体是如何不断移动的,并找出它是如何在我们的大脑中形成这个奇怪的网络的。好吧,我们当然回答了第二部分,但时至今日,没有人真正知道它是如何自己移动的,而且它真的太不重要了,以至没人关心。监督者们不会为我们浪费钱来找出它们是怎么蠕动的。
我们不仅发现了一些动摇人类理解基础的东西,而且还开发了一种可以利用这种知识的工具。
你比我更坚强,你有勇气将维吉尼亚计划进行到最后。我对这个极具价值的工具有矛盾的感觉。我相信基金会会找到它的用途,以改善人类的生活。
我不认为参与我们快速晋升的人有恶意。但我也知道,我们作为一个组织,有一长串的罪过。
我相信,几年后,即使是我现在身处的道德窘境也可以被预测到。
你和我在建立这个帝国的过程中度过了一段美好的时光。我深深地、深深地感激我们的友谊。京都之旅将永远是我最珍贵的记忆之一。我们真的应该从工作中抽出更多的时间,一起探索美国,只要和你在一起,就会觉得工作不再是一种负担。
我真的希望,有一天,你会原谅我。
我确实关心你,亮,不仅仅作为一个同事,而是作为一个朋友。
谢谢你,为我无趣的生活带来一抹亮色。
我已经到达了应许之地13,而我在山顶上看着就挺好。
我并不后悔我在纳米生物组学部的日子。但我不能继续沿这条路走下去了。
我希望你能保持联系;但如果你不这样做——或是不能这样做——我也能理解。
看在我的份上,请在Site-17保持安全。再次祝贺你,祝好运。
有些盒子,还是不要打开为好。
你永远的朋友
蒋维利
更正:蒋渭火博士已被重分配回纳米生物组学部。
伦理委员会已经要求冈见亮辅主管为蒋博士安排一次规定的修正性记忆删除治疗以使其重返工作岗位。
冈见主管被要求尽快赐复。
维吉尼亚计划的目前进展暂不足以支持SCP-6009重分级为Thaumiel。






