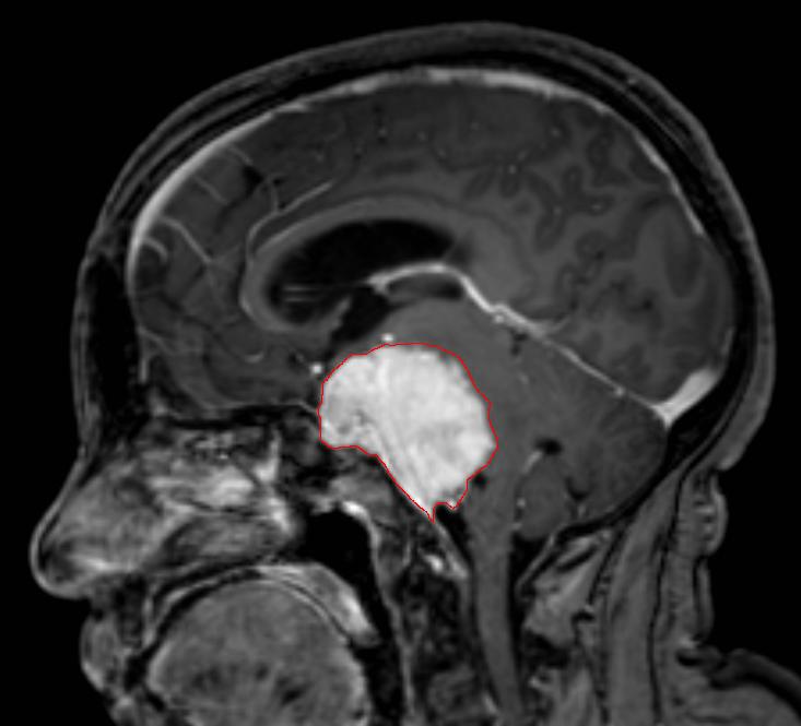
一个SCP-CN-2592-2接触者的脑部MRI扫描图
项目编号:SCP-CN-2592
项目等级:Euclid
特殊收容措施:该项目被收容于Area-CN-57的一间三级生物危害密闭收容间内,任何进入该收容间的人员都必须穿戴全身式隔离服。每月应定期对该项目的赘生物进行切割并将移除的下来的部分进行高温焚烧处理后投入强酸中溶解。
描述:SCP-CN-2592是一具人类骸骨及其异常增生物的统称,其分别被编号为SCP-CN-2592-1和SCP-CN-2592-2。
SCP-CN-2592-1是一具完全骨架化的人类骸骨,为Area-CN-57的前站点主管李██的遗骸,该遗骸被发现时呈现为双手抱膝的坐姿。SCP-CN-2592-1的脊柱于距颈椎约12cm处分裂为两根,额外的脊柱末端连接有一女性人类头骨,经计算机扫描与面部重建后其面部特征与李██的配偶王█一致。SCP-CN-2592-1两个头颅的顶骨均存在一直径约5cm的不规则孔洞,该孔洞据信为SCP-CN-2592-2的生长源头。SCP-CN-2592-1无法被任何常规手段破坏,故尝试破坏其颅骨以追踪SCP-CN-2592-2的源头是几乎不可能的。
SCP-CN-2592-2是从上述孔洞中生长出的骨质赘生物,其外观类似于榕树(Ficus microcarpa),但与榕树不同的是,该项目外观呈灰白色且不具备任何除枝干外的其他结构。SCP-CN-2592-2会以每周约3-7cm的速度向外生长,若其遇到障碍物,则会展现出与藤本植物类似的特性试图覆盖并布满障碍物的表面。在截至本文档撰写时,SCP-CN-2592-2已占据收容间天花板面积的1/3。
SCP-CN-2592-2的枝干拥有与人类骨骼类似的外观,但其莫氏硬度约比前者高3-4个量级且对酸蚀具有显著抗性。目前唯一能够切下SCP-CN-2592-2枝干的方式为使用带有磨料的高压强酸溶液水刀进行持续切割。
当任何人类直接接触到SCP-CN-2592-2时,该人员将于5-7小时内因颅内压过高和脑干机械性损伤而死亡,尸检表明其颅骨内存在一材质与SCP-CN-2592-2类似的不规则骨质球状物体。组织切片显示其周边脑组织存在大量浸润灶与根须状钙化结构,推测可能为SCP-CN-2592-2的繁殖方式。
附录1 - 回收记录:项目最初被发现于李██位于████的一处私有住宅的地窖内,被追查李██下落的基金会特工常██于2009/1/13发现。
发现时该地窖墙壁上存在大量由干涸血液绘制成的未知符号,地面散落着大量灰烬,玻璃碎片与生活垃圾。项目位于该地窖的正中央,已经处于骨架化末期。值得注意的是,该地窖北面墙壁存在一直径约1.2m的不规则凹坑,其边缘存在大量玻璃化痕迹。
李██是前Area-CN-57站点主管,于2007/6/19利用其职权之便私自携带数个SCP项目与炼金学相关机密资料叛逃,随后下落不明。其配偶王█于2004/7/10在一次站点收容失效中丧生。
失窃的SCP项目与相关资料此后从未被基金会寻获。
附录2 - 回收到的资料:在对李██的私人住宅进行搜查时发现一部带有摄像功能的手机,采集到的指纹表明该手机为李██的私人用机,但其屏幕已经碎裂且外壳严重变形,疑似曾暴露于高温环境中。经过技术部门的努力,成功从该手机芯片中回收到以下数据。







