一SCP-663-FR感染者之X光成像。
项目编号:SCP-663-FR
威胁等级:橙 ●
项目等级:Euclid
特殊收容措施:所有SCP-663-FR感染者须于基金会人员陪同下向各自宗教之宗教领袖忏悔罪行,随后施行B级记忆删除。若受SCP-663-FR感染者恰为无神论者,或信仰无领袖之宗教,其须向法官忏悔罪行。所有与SCP-663-FR受害者有过接触者须随后接受B级记忆删除。
为了研究及更好地了解异常性质,所有自受害者分离的SCP-663-FR均须按下文储存说明,保存为各类标本以提供予工作人员。上述标本须存放于Site-Kybian地下一处专门指定的防水储藏室内。
为最大限度地保存SCP-663-FR实例,该储藏室须每周清洁两次,湿度必须始终保持于40%以下。
于标本放置处,须将所有随附之卡片内容一并列出。
描述:SCP-663-FR为一类受害者年龄及性别不限的异常现象。SCP-663-FR之异常现象包括于人体的不同部位出现各类植物,大部分为花朵,也有小豆科类植物,现象从皮肤上出现赘生物到器官内出现花束不等。该过程会为受害者带来痛苦于尴尬,但并不致命,尽管在部分情况下其应导致死亡。
SCP-663-FR开花过程中,一张卡片会无例外地于其中一根花茎上出现,其上签名为“园丁 Chantrieri”,纸条来源和动机至今未知。纸条上写有受害者的个人资料,意味着Chantrieri通过某类不为人知的方式了解其生活、缺点、秘密和过错。卡片背面有一处标志,描绘一株Tacca Chantrieri1之形象,旁附有“生命之花”几何图样。
SCP-663-FR异常所生成之植物无须水与肥料即可存活。SCP-663-FR实例可以生长并继续侵入受害者身体,沿着肉体扩散,其于受害者继续进行卡片上批评其过失行为时即会发动该能力。
手动清除其中一处实例将导致其在第二天重新长出。迄今为止,防止此类植株再生的唯一方法即是向宗教领袖或法官忏悔;忏悔后,植株一旦被拔除即不会再长出。
SCP-663-FR花朵种类因对象而异。
附录:受害者记录。
| 身份 | 职业 | 年龄 | 花种 | 生长位置 | 卡片内容 | 补充说明 |
|---|---|---|---|---|---|---|
| M. Gallerian | 法官 | 45岁 | Anchusa(牛舌草) - Triticum(小麦) - Iris(鸢尾) | 喉咙及声带 / 右手 | “Gallerian法官。这就是你谎言的代价?不惜葬送他人的自由?” | M.Gallerian现正接受法律诉讼,其被指控犯有贪污腐败及收受各类贿赂等罪行。甚至于忏悔过程中,其仍坚持否认上述事实。 |
| T. Janssens | 无业 | 32岁 | Rosa(黄玫瑰) - Orchidaceae(兰花) - Triticum(小麦) | 整个生殖器官(包括内部及外部)/手部,尤其是指甲处。 | “如果你是那么爱她,又为什么要这样对她?这就是你爱的代价?” | T. Janssens现正接受离婚程序及法律诉讼,其被指控对前妻C. Vanderborght实施性暴力及从事淫媒活动。 |
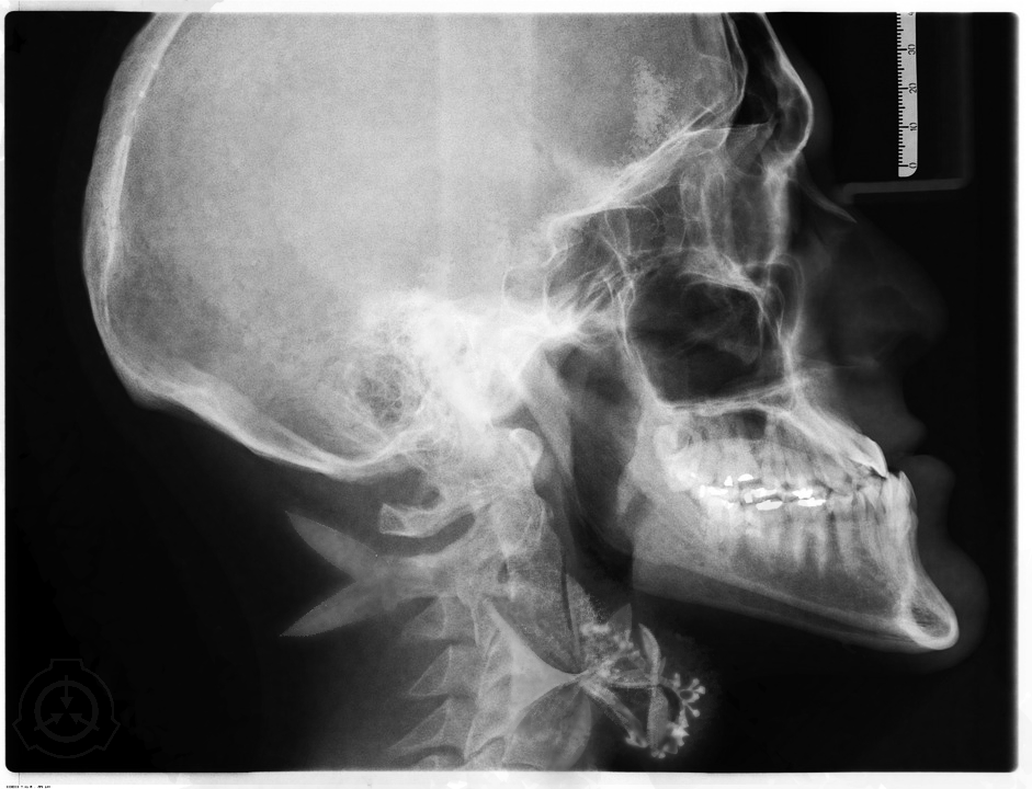
| A. Coeuret | 医疗实习生 | 24岁 | Cuscuta(菟丝子) | 头骨内部。现延伸至整个脑部。 | “多少苦痛因你的卑鄙而酿成。” | A. Coeuret承认曾于医学考试中作弊。其对相关知识的不了解已导致一名病人因错误治疗而丧生。 |
| B. Maes | 模特 | 33岁 | Narcissus(水仙) - Ocimum basilicum(罗勒) - Rubus plicatus(野蔷薇) | 整个面部 | “出于同样缘由,你羡慕她的美貌,又对她充满恨意。” | B. Maes承认自己为造成事故导致一名同事重伤的幕后主导者。其承认自己一直嫉妒其同事于█████品牌时装秀上的亮眼地位,认为其“相较于自己更为优秀”这一点极为不公平。 |





