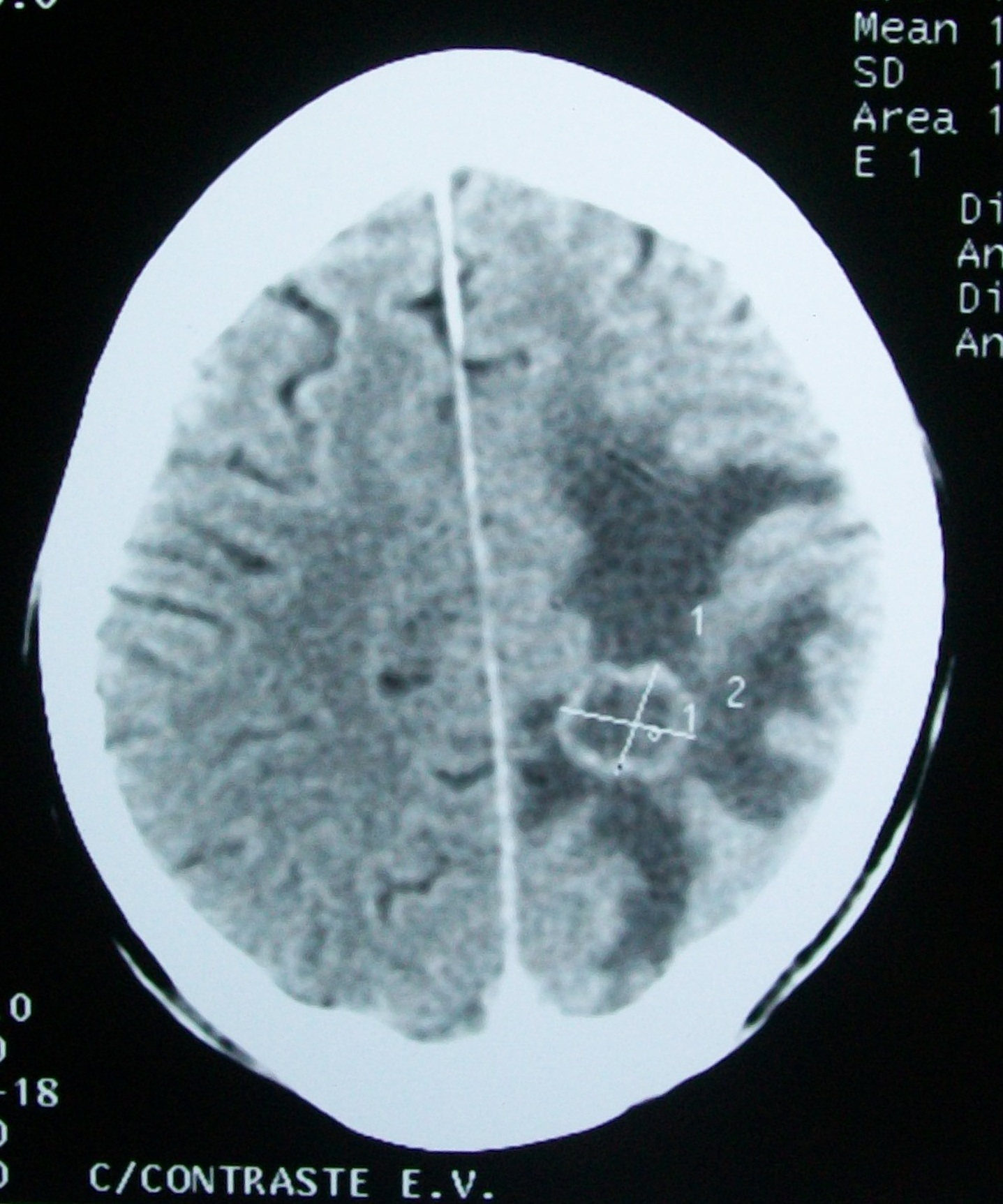
SCP-4425发展早期的CT扫描成像
项目编号: SCP-4425
项目等级: Keter
特殊收容措施: 于每个月底对公众进行扫描,以检查其中是否存在正受SCP-4425影响的个体。受SCP-4425影响的个体将被拘留,并从他们的颅内取出实体。在取出之前需要编造一个用以掩盖的故事。
SCP-4425-1被存放在Site-14的标准密封柜中,并适当地标明不可食用。1
对429号相关人员 “Arkady大厨 ”(POI-429)的调查目前仍在进行中。
描述: SCP-4425是指一个人的颅内区域自行出现大量铝的现象。铝主要围绕着受试者的大脑生长直到最终包裹住受试者的整个大脑。据观察,在完全包裹受试者的颅骨区域之前,这一过程会潜伏一段时间。2
完全包裹后,铝会形成罐头的形状,此刻起,它即为SCP-4425-1。罐头的内容物与个体脑组织被压缩的预期结果不同,通常包含各种调味肉类、蔬菜等。SCP-4425-1 还被发现其上通常会贴有一个标签。标签正面通常写着“Arkady大厨的罐装惊喜”,背面则写着个体的名字和一个以该名字首字母开头的单词。3 SCP-4425-1 首次打开前的温度始终保持在37°C。
据报告,受SCP-4425影响的个体主要会感到轻微疼痛,但在整个过程中,他们被发现受此影响较小。对受 SCP-4425 影响的个体进行的访谈表明,他们能尝到自己最喜欢的菜肴的味道。
没有取出SCP-4425-1的个体通常会在SCP-4425-1从其颅骨中稍微突出并露出其盖子前96小时内丧失所有身体活动能力。
SCP-4425过程结束后,受影响个体的智慧仍会保留。测试发现,SCP-4425-1保留了原始的基本生命功能。放置于SCP-4425-1实体内部的运动传感器检测到了类似心跳的微小节奏运动。
事件4425.01记录: 2015 年 4 月 11 日,有人在一流行的社交媒体网站上发布了一则宣传SCP-4425的广告。该广告指向一个现已失效的异常URL,名为“arkadymysterymeatsandvegetables.com”。
该网站的首页为一段视频。一个名为“Daniel”的卡通人物在视频中模棱两可地介绍了PoI-429如何创造SCP-4425和将个体头部作为 “准备 ”SCP-4425-1的 “烤箱 ”的各种细节。视频的最后,Daniel的无头躯体在屏幕上出现,并在一个SCP-4425-1实体出现时竖起了大拇指,该实体上面写着 "Daniel's Delight!”
基金会的网络爬虫立即删除了这段视频。目前尚未发生任何类似事件。





