SCP-3283-JP
项目编号:SCP-3283-JP
项目等级:Euclid
特殊收容措施:SCP-3283-JP被饲养在Site-81IS的鸟类收容室。
为了维持SCP-3283-JP物种所需的个体数量,以便于SCP-3283-JP得到管理,若SCP-3283-JP数量减少,将执行繁殖程序。在实施繁殖程序时,必须使用的人体素材,请尽量利用已无法使用的人力资源进行再利用。(目前,正在开发不消耗人力资源的人体素材,一旦使用获得批准,本条款将进行修订。)
当确认新的被认为是受SCP-3283-JP影响的尸体,或因SCP-3283-JP导致头部变形的患者时,将对生活在该地区一带的麻雀进行调查。如果发现SCP-3283-JP,应尽可能对该地区麻雀进行宰杀处理,并向该地区派遣监视员。监视员大约需要工作3个月,负责保护SCP-3283-JP的宿主并防止SCP-3283-JP的扩散。只有早期发现的宿主才能摘除SCP-3283-JP,并进行记忆删除和掩盖事故后予以释放。
描述:SCP-3283-JP是一种寄生在人体头部并在此繁殖的类麻雀(Hirundo rustica)生物。
SCP-3283-JP没有雌雄之分,能够通过单性生殖进行繁殖。除了生殖行为外,其生态习性几乎与麻雀相同,但不会为了越冬而迁移,而是留在繁殖地区的周边。
具有繁殖能力的SCP-3283-JP会瞄准人类的头顶,从口中吐出大约5毫米大小的颗粒。这些颗粒内部含有生殖细胞,并且具有与脂质反应而溶解的性质。实际上,如果这些颗粒被吐出在人类的头顶上,它们会被头发接住,随后由于皮脂的作用而溶解,溶解后的液体将通过皮肤吸收渗透到体内。
液体渗透后,SCP-3283-JP的生殖细胞将开始分裂。把宿主人类作为养分和水分的供应源,在皮肤和帽状腱膜/颅骨之间生长,大约经过两个月的反复分裂和膨胀。生殖细胞在压迫宿主的颅骨的同时生长,但由于生长速度缓慢,不会出现明显的症状,除了轻微的疼痛外,宿主通常不会感到不适。
| 经过时间 | SCP-3283-JP生殖细胞及宿主头部状态 |
|---|---|
| 大约1~10天 | 以侵入的生殖细胞为起点,最初形成胚胎。会形成大约3~7个胚胎,每个胚胎都作为独立个体成长。胚胎大小不超过1毫米,宿主几乎感觉不到其发生。 |
| 大约11~20天 | 所有胚胎不断分裂,从胚胎形成胚盘。胚盘形成薄膜以防止个体间的混合,并为后续肉体形成储备养分。此外,一个共通的营养供应器官在宿主头部皮肤内侧形成。这个器官承担着类似胎盘的角色,同时还有稳定胚盘,防止其在生长过程中撕裂宿主皮肤的作用。因此,SCP-3283-JP朝着压迫颅骨的方向生长。 |
| 大约21~45天 | 肉体开始形成。覆盖胚盘的薄膜逐渐变为长球状,最终形成大约20mm×15mm的卵壳,包裹着胚盘。随着卵壳的形成,胚盘不断进行细胞分裂,在卵壳内部诞生出SCP-3283-JP的幼体。这种成长导致宿主的颅骨呈半球状凹陷,可能影响脑功能。然而,由于在头部皮肤内侧形成的营养供应器官起到了盖子的作用,除非触摸,否则在SCP-3283-JP孵化之前很难发现异常。 |
| 大约46~60天 | 在头部内部,SCP-3283-JP开始孵化。从突破卵壳的个体开始,以营养供应器官作为最初的营养源摄取营养,并在打开空气通道后尝试啃食宿主头部的皮肤。此外,孵化后的SCP-3283-JP会表现出连续撞击宿主头部的行为,这种刺激会导致宿主被诱导至野外等自然环境。皮肤被破坏的剧烈疼痛和大脑压迫导致的判断力下降也被认为是遵从指令的因素。 |
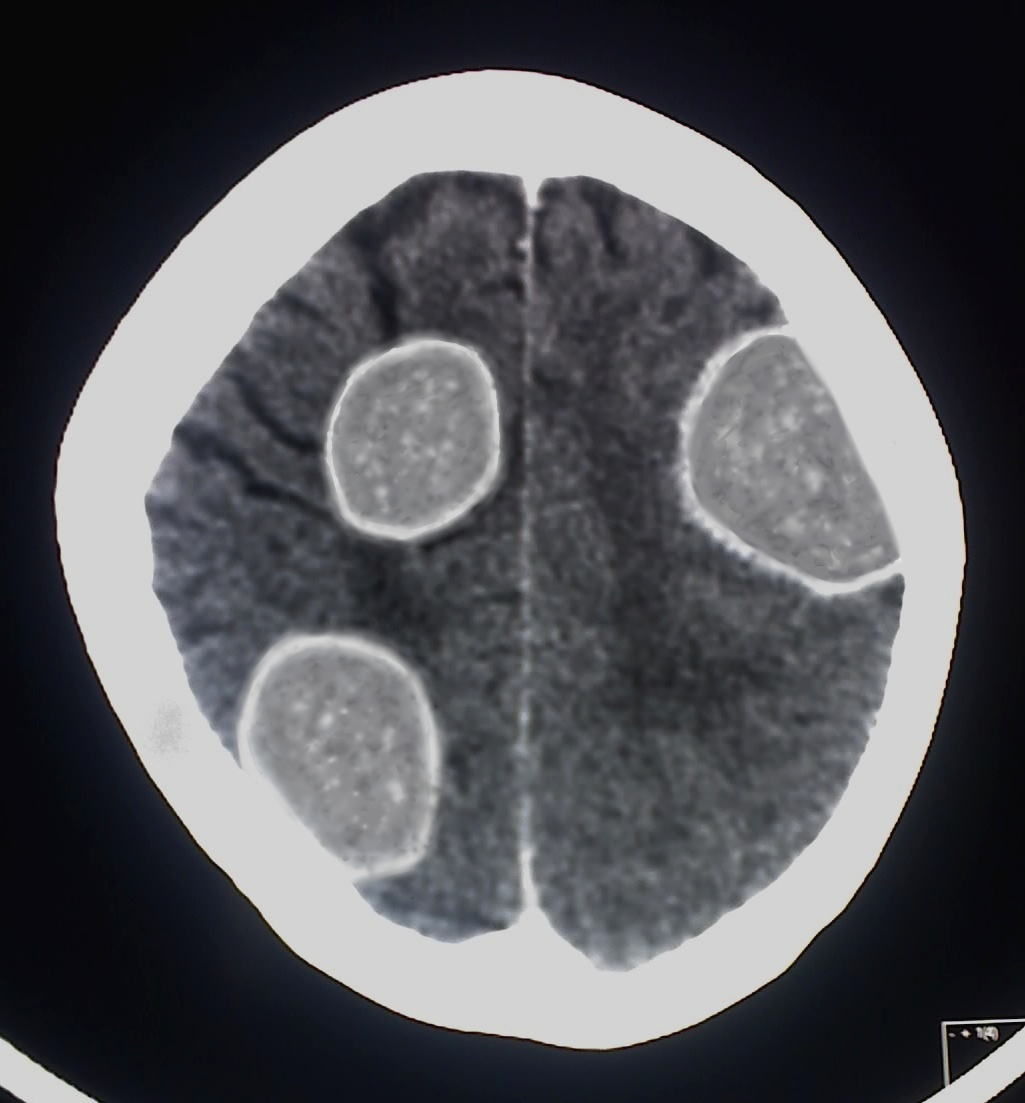
被寄生的宿主头部,卵壳形成时期的CT扫描图。
当SCP-3283-JP的群体突破宿主头骨暴露在外界时,由于肉体形成时期的颅骨压迫和头部皮肤的裂开,宿主的头部将产生深度约60毫米的空洞。SCP-3283-JP会直接利用这个空洞作为巢穴。
完成皮肤摄食的SCP-3283-JP会通过叫声告知宿主其饥饿状态。这种叫声包含人类感到最为不适的频率,并以停止叫声为条件,促使宿主服从特定的命令。
接收到叫声后,宿主会搜寻虫子或植物的果实作为食物,并将其提供给SCP-3283-JP。在搜寻地表附近的食物时,宿主往往会采取低姿态,但由于需要固定颈部角度以防止SCP-3283-JP掉落,这会给宿主的身体带来巨大的负担。大多数宿主会花费一天中的大部分时间以四足行走的姿势度过,在地上爬行以采集食物,并持续将其提供给头顶部的SCP-3283-JP。直到SCP-3283-JP成长为成体并离巢的大约20天里,宿主将受到这个行为周期的支配。
SCP-3283-JP在宿主的头顶部形成的巢穴中,与麻雀或其他鸟类相比,能够更安全地成长。头发和坚固的头部作为温暖且不易被破坏的巢穴,发挥了完美的功能,这可能是由于多种原因,如人类这一物种能够远离外敌、即使父母死亡也能避免幼崽饿死等因素的推测。
随着成为宿主的人类长期受鸣叫影响,他们将会逐渐失去自主思考的能力。主要原因是由于持续采取高负荷的姿势导致的肉体疲劳,以及持续接受不适频率的鸣叫导致的神经回路的麻痹,最终他们将放弃思考本身。尽管如此,基于积累的知识,他们仍然会稳定地向SCP-3283-JP提供食物,并在鸣叫声停止时自行摄取食物以休息,这种行为模式仍然会持续。
SCP-3283-JP在宿主的头部进行飞行练习,直到所有个体都从宿主体内离巢。当SCP-3283-JP完成离巢后,许多宿主将处于无法进行自主思考行动的状态。由于体力或精神方面的问题,他们无法移动到可能被他人发现的地方。在SCP-3283-JP离巢几天后,宿主将会死亡。





