著作信息
X
标题:SCP-CN-3743 - 里表情人
作者:
NiaGba
写作年份:2025
项目编号:SCP-CN-3743
项目等级:Ticonderoga
特殊收容措施:由于目前全球范围内受到SCP-CN-3743影响的人类(Homo sapiens)个体数量高达数百万,完全收容SCP-CN-3743被认为是不可能的。目前已知的包含SCP-CN-3743-A的实体图像载体绝大部分已被基金会集中销毁,小部分收容于Site-CN-82的低威胁收容柜中以供研究。基金会网络爬虫已被部署以筛查被上传至互联网的可能包含SCP-CN-3743-A的电子图像。
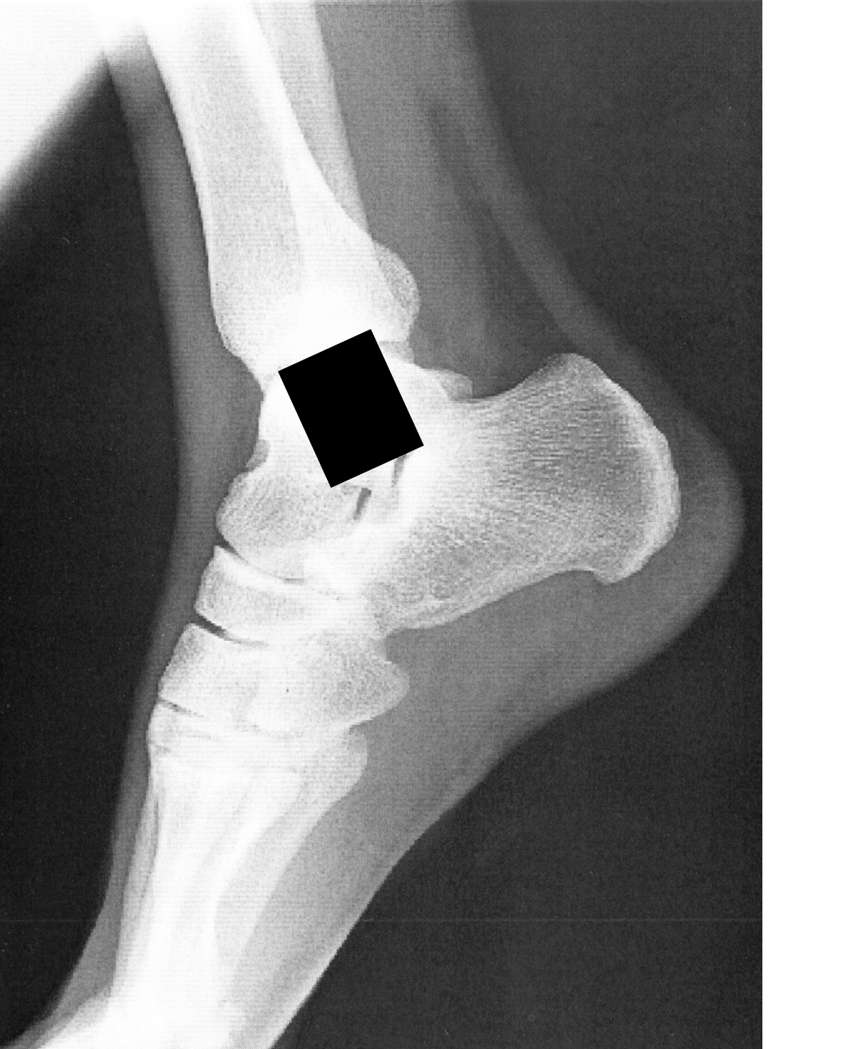
SCP-CN-3743-A的CT图像,摄于SCP-CN-3743-1的右脚脚踝内侧。
认知危害已编辑。
若收到某地区颜面神经麻痹患者异常增多的报告,临时机动特遣队MTF-己未-12“外表情人”将被建立以调查其是否存在与SCP-CN-3743间的关联。
SCP-CN-3743-1须每两周前往Site-CN-82的心理咨询室接受心理测评与辅导,并每日配给足量的镇静药物。
描述:SCP-CN-3743指代临床上称为颜面神经麻痹(Facial Nerve Paralysis)的疾病/症状。
目前(帷幕外)的相关研究一般认为,颜面神经麻痹是由面部神经受损所致,诱因通常为寒冷、机械性损伤、感染或炎症等。但基金会研究表明,面部神经受损仅为SCP-CN-3743异常性质的一种表现。在某一对象由于上述诱因诱发SCP-CN-3743后,对象面部神经受到损伤导致面部肌肉活动受到影响的同时,一个尺寸不定的emoji表情(编号为SCP-CN-3743-A)会随机出现在对象身体内部的随机表面,其所展示的具体表情与对象当前意图做出的表情相同,且会根据对象心理活动的改变而发生变化(详见附录CN-3743.1)。
任何人类个体在持续观察包含SCP-CN-3743的图像超过5秒后,将同样遭受SCP-CN-3743的异常性质影响;体内已存在SCP-CN-3743-A的个体不会再次受到影响从而产生第二处SCP-CN-3743-A。
SCP-CN-3743-1指代Site-CN-82高级研究员于渔。2024年11月13日,SCP-CN-3743-1在Site-CN-82的外围过道上休息时由于长时间的穿堂风刺激而突发颜面神经麻痹,并伴随右脚脚踝内侧骨神经的剧烈痛感。随后对其的检查中发现了SCP-CN-3743的存在,其脚踝处的痛感被证明是由SCP-CN-3743-A表情的变化所致。
目前,SCP-CN-3743-1通过对自身施用镇静剂以避免情绪波动的方式收容其身体内部的SCP-CN-3743-A。根据SCP-CN-3743异常性质的不重复性,现由SCP-CN-3743-1负责管理SCP-CN-3743相关事务并对其进行研究。
| 对象 |
过程 |
结果 |
备注 |
| Site-CN-82驻站高级医师刘█ |
对象在使用CT为SCP-CN-3743-1检查其右足处剧烈疼痛时发现了SCP-CN-3743并受其影响。 |
对象突发脑卒中。 |
推测SCP-CN-3743-A出现在其大脑内部血管表面导致脑卒中发生。 |
| SCP-CN-3743-1 |
在上一对象突发脑卒中后,对象立即判断出该状况是由其CT图像产生并将其收容,将相关情况汇报至上级。 |
对象未受到SCP-CN-3743异常性质的二次影响。 |
推测同一对象身体内部最多存在一处SCP-CN-3743-A。 |
| SCP-CN-3743-1 |
在刘█相关事项处理完毕后,对象重新拍摄了一张CT图像。 |
SCP-CN-3743-A所展示的表情发生了变化。 |
推测SCP-CN-3743-A能够反映对象意图做出的表情。 |
| 1只倭黑猩猩(Pan paniscus)。 |
观察SCP-CN-3743-A图像。 |
对象未受到SCP-CN-3743异常性质的影响。 |
推测SCP-CN-3743的异常性质仅对人类有效;该次及以下实验均已批准SCP-CN-3743-1进行。 |
| D-2857 |
观察SCP-CN-3743-A图像。 |
对象观察图像5秒后发生颜面神经麻痹,随即停止观察并发生急性肠穿孔,最终腹腔大面积感染不治而亡。 |
推测SCP-CN-3743-A出现在对象肠道处。 |
| D-3077 |
观察SCP-CN-3743-A图像。 |
对象观察图像5秒后发生颜面神经麻痹,并于3秒后恢复正常。 |
未知SCP-CN-3743-A的出现位置,推测可能出现在某细胞表面并随其破裂而消失。 |
| D-3077 |
观察SCP-CN-3743-A图像。 |
对象观察图像5秒后发生颜面神经麻痹。未报告其他不适症状。 |
经胸腹CT检查后在其右侧第七肋骨下侧表面发现面积约为10-7 cm2的SCP-CN-3743-A。其面积过小以至于不影响D-3077的正常生活;然而由于SCP-CN-3743的不重复性,D-3077无法继续用于相关实验。 |
| D-3043 |
观察SCP-CN-3743-A图像。 |
对象观察图像5秒后发生颜面神经麻痹,并报告其右小臂骨骼疼痛。 |
经CT检查后在其右小臂尺骨表面发现面积约为4 cm2的SCP-CN-3743-A。 |
| D-3043 |
将对象麻醉后尝试刮除其尺骨表面的SCP-CN-3743-A。 |
成功刮除SCP-CN-3743-A。对象的颜面神经麻痹症状随之消失。 |
推测SCP-CN-3743的异常效应可通过物理方式解除。 |
202█年3月4日,SCP-CN-3743-1被发现死于批准其单独使用的手术室内,死因为心血管破裂。下附事故发生时手术室内的监控记录。认知危害已经过处理。
<记录开始>
08:22:41 SCP-CN-3743-1携带外科手术相关用品进入手术室。
08:25:37 SCP-CN-3743-1对其右足实施了局部麻醉。
08:31:56 SCP-CN-3743-1使用手术刀切开其右侧足部皮肤。
08:32:21 SCP-CN-3743-1右侧内踝骨上的SCP-CN-3743-A完全暴露。
08:32:41 SCP-CN-3743-1拿起手术用锉刀。
08:32:44 SCP-CN-3743-A自行消失。
08:32:46 SCP-CN-3743-1双手捂住其胸部倒地。
<记录结束>
该次事故表明SCP-CN-3743-A似乎会在特定情况下转移其位置;目前导致转移的具体诱因尚属未知。SCP-CN-3743的特殊收容措施改订相关事项正在审议中。
页面版本: 8, 最后编辑于: 03 May 2025 04:02