特殊收容措施:
所有已知的SCP-7694样本都应被储存于一冷却至零下200°C 的5级生物危害容器中。任何对SCP-7694进行的测试都应远程进行。所有在该收容措施中焚化的物体产生的灰烬都应以相同条件储存。
基金会特工应当监控所有含神经内科部门的医院以监测SCP-7694-1个体的迹象。所有疑似的SCP-7694-1个体应当被基金会拘押并置于生物危害性人形生物收容单元中。
应当尽可能长时间地保持阶段1的SCP-7694-1个体不知晓其疾病状况。除测试用外,凡到达阶段2的SCP-7694-1个体应当被安乐死并以至少9573°C火化。
任何与下列之一有过接触的个人应当被认为是一SCP-7694-1个体:
- 一个阶段3的SCP-7694-1个体。
- 任何阶段3个体与其有过物理接触的物件或表面。
- 任何阶段的SCP-7694-1个体的脑部物质。
倘若任何SCP-7694-1个体到达阶段4而未被妥善收容,任何受到污染的物件或表面应当以至少9573°C火化;在确认完全清除污染前,周边区域应被视为有生物危害性进行处理,且所有目击者应被认为是SCP-7694-1个体。
描述:
SCP-7694为主要朊病毒蛋白(PrP)的一种异常的错误折叠异构体。与朊病毒蛋白的其他错误折叠形式类似,SCP-7694可通过接触以诱导其他朊病毒蛋白分子发生错误折叠,从而实现自我增殖。此外,SCP-7694具有反熵特性,在活人大脑内时,能以指数级速率生成额外的SCP-7694分子。而且,作为一种朊病毒,SCP-7694展现出异常高的化学稳定性,需在至少9573°C的高温下焚烧才能使其失活。
目前SCP-7694的成因尚不完全清楚。然而,受影响的个人,下称为SCP-7694-1,一般具有程度轻微至严重不等的疑病症历史。据估计,意识到SCP-7694存在且有疑病症历史的个人在将来5年期间有约20-60%的概率成为一SCP-7694-1个体。该风险与疑病症严重程度相关联。
SCP-7694-1实体症状的进展通常遵循三个阶段,除消灭该个体外,无其他阻止方式。
阶段1:
处于阶段1的SCP-7694-1个体一般表现出下列症状中的一个或多个:
- 肌纤维颤搐。
- 运动性抽动。
- 轻微乏力。
- 轻微头痛。
该阶段通常持续2-9个月,在对其症状表现出焦虑的个体中发展更快。存在假设认为这是由SCP-7694分子更快显现导致。
阶段2:
在阶段1症状的基础上,阶段2个体表现出:
- 大量的颅内高压。
- 持续的恶心。
- 视线模糊。
- 构音障碍。
- 轻微共济失调。
该阶段通常持续1-3周,其进展与焦虑程度有与阶段1类似的联系。
阶段3:
阶段3的典型特征为上述症状快速且严重的加剧,主要为头痛、恶心,以及颅内高压。非异常的止痛药和止吐药被证明无法缓解阶段3症状。除上述症状的加剧外,阶段3个体同时表现出下列症状:
对阶段3个体的核磁共振扫描表明在颅内腔和鼻腔间形成了瘘管。这导致脑脊液泄漏入鼻腔和食管,导致喷嚏和呕吐物具有极高感染性。
该症状通常持续1-2天,在保持清醒状态的病人中进展更为快速。
阶段4:
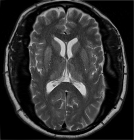
对阶段4的SCP-7694-1个体的脑部核磁共振结果,显示出肿胀的的颅骨和瘘管。
发展至阶段4的标志为回光返照的发生,SCP-7694-1个体恢复其记忆与正常的运动能力。除上述症状外,阶段4个体表现出下列症状:
- 寻找他人的强烈欲望。
- 对所有麻醉剂完全抵抗。
- 颅骨内发出碎裂声。
- 快速形成连接颅骨和头皮的瘘管。
在阶段4开始2小时之内,SCP-7694-1个体的颅骨将会开始以极快的速率增长并最终爆炸。
发现:
SCP-7694发现于2003-03-24,当时一名在瑞典哥德堡卧底于应急服务行业的基金会特工注意到一起萨尔格伦斯卡大学医院的抢救室中一人头部爆炸的事件。由于报告提到一篇卡在天花板灯上的脑部物质表现出海绵状脑病,机动特遣队Beta-7“疯帽商”被部署以控制该区域。
Beta-7抵达时,发现整个抢救室都被脑脊液、血液和脑部物质、皮肤和骨骼碎片覆盖。依据标准生物危害处理方案,所有疑似受到污染的个人均被基金会拘押。
后续调查确认第一例已知的SCP-7694-1个体为该有疑病症历史的31岁男性,下称为SCP-7694-1-A。医疗记录显示-A在此前四个月中与数名医师有过接触。由于其历史,在上述事件发生前,其相关症状一直未受重视。
在后续三个月中,所收容的个人中100%都发展出了SCP-7694的症状,另包括4名Beta-7队员和1名指派至SCP-7694的研究员。