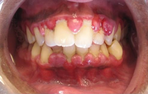
处于第一阶段的异常情形
项目编号:SCP-CN-2150
项目等级:Euclid
特殊收容措施:SCP-CN-2150被收容于Mobile-Site-CN的标准人形收容单元内。单元内需提供标准生活设施及符合其营养需求的软质或流质食物。每日需由两名安保人员陪同一名3级医疗人员进行至少两次的检查,重点记录SCP-CN-2150牙龈及面部状态的变化。
严禁向SCP-CN-2150提供任何非基金会批准的非甾体抗炎药或强效镇痛剂。在SCP-CN-2150进入第三异常阶段后,所有人员需明确认知,外部机械干预是无效且被禁止的。
描述:SCP-CN-2150是一名亚裔男性,原名███,生理年龄35岁。对象外表除口腔及面部周期性异常外,其余指标均与健康人类无异。其异常性质表现为一个持续且不可逆的周期性牙龈组织增生与炎症过程,该过程伴随着剧烈的神经性疼痛。
该异常效应周期的初始阶段通常始于上一次周期结束后的第7天。此时,SCP-CN-2150的牙龈边缘,即牙齿与口腔黏膜交界处的膜龈联合线将首先出现弥散性红肿和点状出血。炎症反应在48小时内迅速加剧,牙龈组织开始出现病理性增生。增生组织首先向牙冠方向的附着龈和游离龈龈顶点扩散,同时龈乳头1显著膨胀,开始填充牙缝。
在第二阶段下,牙龈组织的增生速度将加快。肿胀的龈乳头完全覆盖所有牙间缝隙,随后增生组织沿着牙冠表面向牙合面2蔓延,其生长模式类似于牙龈纤维增生,但速度和程度远超任何已知病理学案例。此阶段,SCP-CN-2150面部因深层炎症和水肿开始出现明显肿大,尤其以颧骨和下颌区域为甚。肿胀组织对眶下神经及三叉神经分支产生持续性压迫,导致对象报告“有灼烧性”与“搏动性”交织的剧烈阵痛,并常伴有视力模糊和眼球胀痛。
约在一周之后,异常将进入第三阶段。增生牙龈组织将完全包裹上下颌的所有牙齿牙冠,并在牙合面中心处汇合,形成一层致密的、覆盖全部牙列的新生牙龈组织。此时,SCP-CN-2150的口腔功能严重受限,仅能进行微小开合。一旦对象尝试闭口,将使得上下颌被包裹的牙龈表面发生接触,接触点会立即引发快速的组织融合。融合过程在数秒内完成,导致上下颌被坚固地连接在一起,对象无法张口。X光成像及活体组织检查显示,融合处的牙龈组织细胞表现出极高的有丝分裂活性和细胞间粘附性。任何试图通过外科手术刀、扩张器等机械手段分离融合牙龈的尝试均告失败,被切开或撕裂的组织会在15秒内以肉眼可见的速度迅速再生,重新包裹牙齿并开始向上下融合,恢复至被干预前的状态。
解除第三阶段效应的唯一方法是:诱导SCP-CN-2150在牙龈完全包裹牙齿后,主动且用力地执行咬合动作。由于初始接触即导致融合,此指令需要在融合发生前通过心理引导促使对象“下定决心”后进行。对象必须克服剧痛,通过下颌咬肌力量,使被包裹的牙齿快速强行挤压、切割其外的增生牙龈组织。这个过程通常伴随着大量的出血和组织液渗出,SCP-CN-2150需在15秒内进行反复的咀嚼状摩擦运动,直至将覆盖牙冠的增生组织彻底磨破,使牙齿重新暴露。
一旦有任意数量的牙齿突破牙龈覆盖,整个异常增生过程将立即停止。所有增生的牙龈组织会在随后的2-4小时内快速坏死、脱落、被吸收或转化为牙菌斑样物质,口腔及面部肿胀迅速消退,疼痛感消失。口腔环境在周期结束时恢复至基准正常状态。如尝试失败且进入第三阶段融合状态,需要在切割后的15秒内快速重复进行该进程,直到效应停止。
备注:SCP-CN-2150的心理健康状况因该无休止的循环而持续恶化,具体表现出重度抑郁和预期性焦虑的症状。建议心理学部门介入,但需注意任何试图永久抑制该异常周期的干预措施(如全口牙齿拔除)已被预见到可能引发不可预测的级联效应,目前被禁止。





