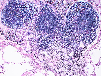
带有生殖中心的淋巴卵泡,即SCP-8683活动的部分,染成深紫色
特殊收容措施:为限制对SCP-8683的了解,一则虚构的躯体超变异故事被广泛传播,覆盖免疫学和医学文献。基金会分析师将监控全球医学研究,识别计划调查SCP-8683关键机制的实验,若这些实验被认为可能独立发现SCP-8683或干扰SCP-8683与人类的关系,会立刻停止资金支持
描述:SCP-8683是负责脊椎动物适应性免疫的智慧体。在免疫反应中,它会重构生殖中心内B细胞的DNA1产生针对遇到的病原体和毒素的特异性抗体。
发现:基金会研究人员在观察到抗体生成研究中的异常后,首次假设SCP-8683的存在。在免疫反应过程中,B细胞DNA表现出高度靶向且快速的变化,这些变化与随机突变和克隆选择不兼容,而克隆选择当时是主要解释。预期的非功能性和有害突变始终缺失。
托比亚斯·弗里施博士假设,一个未知智慧体SCP-8683活跃于生殖中心,并设计了一系列实验,旨在与该智能交流。他的通信方法基于SCP-8683能够感知胚胎中心所有细胞内容的假设,因为它必须感知基因组当前状态才能将其改变为理想状态。他与阿尔达·奥萨尼安博士共同开发了弗里施-奥萨尼安代码,旨在建立与该实体的共同通信方式。
在学习过程中,从小鼠生殖中心采集的细胞中未检测到新文本。因此,弗里施博士决定继续向SCP-8683发送信息。
实验日期: 2025年8月14日
受试动物: 老鼠(Mus musculus)M-10438
注射部位: 右后脚垫皮内注射2
英语输入: 大家好,我们是医生和真理的追寻者,渴望与你沟通。如果您能接收并理解此信息,请回复。
输出:你好
在此结果之后,罗默主任批准了一系列额外的实验。
实验日期: 2025年8月15日
受试动物: 老鼠(Mus musculus) M-10438
注射部位: 后右脚垫皮内注射
英语输入: 我是托比亚斯·弗里施。我是人类。你是谁?你叫什么名字?
输出: 你好,托比亚斯 我制造球蛋白
实验日期: 2025年8月15日
受试动物: 老鼠(Mus musculus) M-10438
注射部位: 后右脚垫皮内注射
英语输入: 你为什么制作球蛋白?
输出: 我喜欢球蛋白
实验日期: 2025年8月15日
受试动物: 老鼠(Mus musculus)M-10438
注射部位: 右后脚掌皮内注射
英语输入: 球蛋白是怎么制造的?
输出: 我把它们从各个部件组装起来,这真是个有趣的小谜题
实验日期: 2025年8月15日
受试动物: 老鼠(Mus musculus) M-10438
注射部位: 后脚垫皮内注射
英语输入: 你做这个多久了?
输出: 我不知道 我不知道时间
实验日期: 2025年8月15日
受试动物: 老鼠(Mus musculus) M-10438
注射部位: 后右脚垫皮内注射
英语输入: 你在哪里?你能感知到周围什么?
输出: 我感知分子所在之处
奥萨尼安博士决定尝试将FOC质粒注射到不同的小鼠受试者中,以确定每个不同的脊椎动物生物体是否存在不同的SCP-8683实例。对FOC的了解被判断为单一身份的证据。
实验日期:2025年8月16日
受试动物:小鼠(Mus musculus) M-10672
注射部位: 右后脚垫皮内注射
英语输入: 你好,你在吗?你以前和我们说过话吗?
输出: 你好,托比亚斯。
弗里施博士和奥萨尼安博士决定尝试通过其他物种与该实体交流。
实验日期: 2025年8月19日
受试动物: 非洲爪蛙(Xenopus laevis)X-3547
注射部位: 腔内注射,靠近背侧淋巴囊
英语输入: 你能接收到此信息吗?
输出:又见面了,托比亚斯
实验日期: 2025年8月19日
受试动物: 灰鹦鹉(Psittacus erithacus) X-2310
注射部位: 左胸肌肌肉注射
英语输入: 你能接收到此信息吗?
输出: 是的,托比亚斯
实验日期: 2025年8月19日
受试动物: 人类(智人) 托比亚斯·弗里施博士
注射部位: 皮内注射,右三角肌
英语输入: 这是我的身体。我是托比亚斯·弗里施。
输出: 好的,托比亚斯
为确定SCP-8683在身体不同部位的感官感知水平,弗里施博士制造了多种不同的合成伽马球蛋白,并在小鼠标本(M-10438)的不同部位注射。球蛋白注射部位包括:脾脏、淋巴结、肾脏、小脑、后肢肌肉、回肠、肝脏。
实验日期: 2025年8月21日
受试动物: 老鼠(Mus musculus) M-10438
注射部位: 右后脚垫皮内注射
英语输入: 我制造了一些球蛋白并将其放入此身体。你能检测到多少?
输出: 非常好,托比亚斯,这些非常适合初学者,但没关系,我不需要任何帮助
实验日期: 2025年8月21日
受试动物: 老鼠(Mus musculus) M-10438
注射部位: 右后脚垫皮内注射
英语输入: 你感应到我有多少不同的球蛋白?
输出: 3
注:弗里施博士推测,SCP-8683对其合成化合物有意识的部位是脾脏、淋巴结和回肠壁,这些都是生殖中心形成的区域。
弗里施博士决定向SCP-8683提出一些免疫学问题,看看SCP-8683是否能协助生物医学研究。
实验日期: 2025年8月22日
受试动物: 小鼠(Mus musculus) M-10438
注射部位: 后右脚垫皮内注射
英语输入: 我有个问题。我发现了一种危险的病毒,融合蛋白如鱼叉,能锁定我的细胞。如果我在蛋白质发射后粘附球蛋白,那就太晚了。我该怎么办?
输出: 哦,是的,这是个巧妙的技巧,别抓住尖端
实验日期: 2025年8月22日
受试动物: 老鼠(Mus musculus) M-10438
注射部位: 右后脚垫皮内注射
英语输入: 我应该怎么办?
输出: 将色氨酸楔入铰链中
实验日期: 2025年8月22日
受试动物: 小鼠(Mus musculus) M-10438
注射部位: 右后脚垫皮内注射
英语输入: [序列省略] 这样吗?
输出: 是的,现在打不开,它就那样放着,非常有趣。3
实验日期: 2025年8月22日
受试动物: 老鼠(Mus musculus) M-10438
注射部位: 右后脚垫皮内注射
英语输入: 我发现了另一种有害病毒。它被一层厚厚的糖链糖覆盖,我的抗体无法结合它。我该怎么办?[省略HIV蛋白和抗体序列]
输出:你需要锤子
实验日期: 2025年8月22日
受试动物: 老鼠(Mus musculus) M-10438
注射部位: 后右脚垫皮内注射
英语输入: 你什么意思?
输出:用丙氨酸和甘氨酸做一个手柄,用硫酸色氨酸做一个头部,它进入护盾并戳出黏液4
实验结束后,O5-6下令调查SCP-8683是否存在于进入其他维度的人类体内,以确定人类免疫力是否可能在其他维度受到影响,并探索SCP-8683作为基金会人员可使用的宇宙间通信手段的潜力。因此,弗里施博士决定测试Σ-163维度内部的通信,这是一个异常的口袋维度,由一个洞穴系统组成,无法进行无线电通信。
实验日期: 2025年8月24日
地点: 维度Σ-163
受试动物: 人类(智人) 托比亚斯·弗里施博士
注射部位: 皮内注射,右三角肌
英语输入: 我在另一个宇宙。你还能收到我的消息吗?
输出:是的,非常令人印象深刻 托比亚斯
实验日期: 2025年8月24日
地点: Σ-163维度
受试动物: 人类(智人) 托比亚斯·弗里施博士
注射部位: 皮内注射,右三角肌
英语输入: 你能感应到我这里的身体有任何变化吗?
输出: 其实并不算
实验日期: 2025年8月24日
地点: 维度Σ-163
受试动物: 人类(智人) 托比亚斯·弗里施博士
注射部位: 皮内注射,右三角肌
英语输入: 我正在努力思考我们如何更好地沟通。
输出: OK
实验日期: 2025年8月24日
地点: 维度Σ-163
受试动物: 人类(智人) 托比亚斯·弗里施博士
注射部位: 皮内注射,右三角肌
英语输入: 您愿意帮我转达一条信息吗?
输出: 你发现了有趣的病毒吗?
实验日期: 2025年8月24日
地点: 维度Σ-163
受试动物: 人类(智人) 托比亚斯·弗里施博士
注射部位: 皮内注射,右三角肌
英语输入: 不,我只是想和我们最初交谈的同事们分享一些信息。请告诉他们我们已成功联系。
输出:OH
实验日期: 2025年8月24日
地点: 维度Σ-163
受试动物: 人类(智人) 托比亚斯·弗里施博士
注射部位: 皮内注射,右三角肌
英语输入: 有什么问题吗?
输出: 我以为你喜欢球蛋白
实验日期: 2025年8月24日
地点: 维度Σ-163
受试动物: 人类(智人) 托比亚斯·弗里施博士
注射部位: 皮内注射,右三角肌
英语输入: 我知道,但这条信息对我很重要。你能帮我发一下吗?
输出:抱歉,我还有工作要做
实验日期: 2025年8月24日
地点: 维度 Σ-163
受试动: 人类(智人) 托比亚斯·弗里施博士
注射部位: 皮内注射,右三角肌
英语输入: 会很快的,只要告诉他们我们已成功联系。
输出: [无响应]
实验日期: 2025年8月24日
地点: 542号地点
受试动物: 人类(智人) 托比亚斯·弗里施博士
注射部位: 皮内注射,右三角肌
英语输入: 抱歉让你这么做。我只是非常想更多地了解你和你的能力。你想再谈谈球蛋白吗?
输出:[无响应]
弗里施博士怀疑无反应可能与他不愿特别沟通有关,因此请求奥萨尼安博士进行后续实验,以防SCP-8683能区分两位研究人员。
实验日期: 2025年8月25日
地点: 542号地点
受试动物: 人类(智人) 阿尔达·奥萨尼安博士
注射部位: 皮内注射,左三角肌
英语输入: 你在吗?
输出: [无响应]
实验日期: 2025年8月25日
地点: 542号地点
受试动物: 人类(智人) 阿尔达·奥萨尼安博士
注射部位: 皮内注射,左三角肌
英语输入: 我非常想和你谈谈。我对你的工作有很多问题。
输出: [无响应]
实验日期: 2025年8月26日
地点: 542号地点
受试动物: 人类(智人) 托比亚斯·弗里施博士
注射部位皮内注射,右三角肌
英语输入: 请回应
输出: [未检测到反应]
尽管多位研究人员多次尝试,但未发现SCP-8683有进一步反应。脊椎动物继续展现适应性免疫功能。





