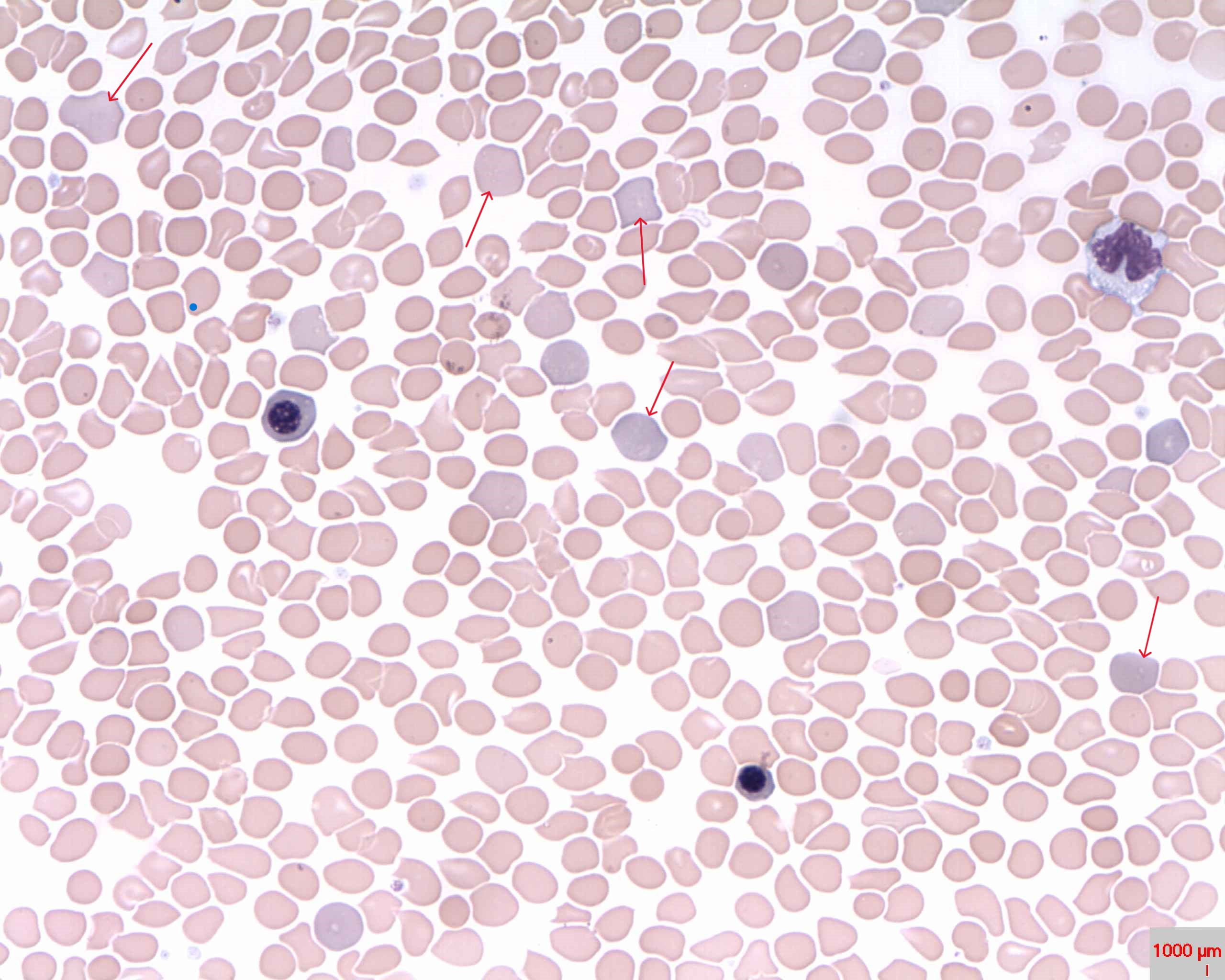
部分SCP-CN-3356个体(箭头所指)、红细胞和白细胞
项目编号:SCP-CN-3356
项目等级:Keter
特殊收容措施:应确保收容间附近无任何水源,收容间相对湿度不得大于20%,需严格控制任何含水物进出收容间。SCP-CN-3356应在直径60mm的FC-401通气培养皿中培养,培养皿底部材质应使用石英玻璃(内部抛光)外部需镀隔热涂层,需每日进行一次涂层检查(特殊情况需立即检查),顶部使用石墨烯气凝胶覆盖保证透气性。收容间应采用钛合金材质并内衬高纯度氧化铝陶瓷,需每月进行一次开裂评估(特殊情况需要立即检查)。
收容间氧氩混合气体浓度不得低于30%,且应保持气体更新,室温应保持在-10℃。气体更新系统管道应独立于设施,需每日检查管道内冷凝水状况。收容平台使用电磁悬浮提升至地面130cm,不得以任何形式使用透气性差的材料遮盖或密封培养皿创造低氧、氩环境。收容间与外部设施需通过两级闸室连接,进入收容间的人员必须穿戴正压防护服2。
若怀疑泄露,则需使用高分辨率探头观察是否发生。若发生泄漏则应立即执行生物泄露应急响应协议,有人员在内则应同时执行人员撤离程序。
描述:SCP-CN-3356是一种生物安全等级4级的微生物。外观类似人类成熟红细胞,呈双凹圆盘状,直径大小在8.2μm-9.2μm。
通过对二氧化氯消杀后的SCP-CN-3356进行理化性质分析,发现其膜由脂质和蛋白组成,胞内含有少量血红蛋白以及大量未知蛋白质,其功能类似朊病毒。
对曾感染过人类的SCP-CN-3356进行生化分析发现胞内多出以下物质:
- 抗病毒干扰素
- 部分DNA和RNA片段
- 增加的未解明序列的蛋白质
- 核糖体
推测异常在感染过程中不断汲取宿主的细胞内的物质,完成类似进化的过程。
值得注意的是:被水浸湿的固体、湿度过大的空气、含水的液体(水的体积占比需>30%)均会引起SCP-CN-3356的活性大幅提升,即使该空间使用氧气或氩气作为气体环境。同时,在上述的三种含水环境中,SCP-CN-3356会表现出极高的移动速度和极强的侵略性。在水体中,SCP-CN-3356表现出极强的增殖能力,一分钟左右即可增殖到原数量的四倍,即使水体中无供能物质。
当SCP-CN-3356增殖到一定数量时,会表现出细胞聚集的特性。大量SCP-CN-3356个体汇聚成一个宏观物体,目前仅观察到红色条带以及触手状物体(详情见 附录—事故:血光之灾)两种聚集体。两种聚集物分别称为SCP-CN-3356-1以及SCP-CN-3356-2。
研究可证明,高浓度氧气以及氩气对其有抑制活性的效果。高浓度氧气环境下表现出能够抑制感染能力的特性,但不具备灭活效果,该特性在丰水环境不适用。
SCP-CN-3356可以通过液体途径、黏膜组织、裸露伤口感染,不能通过空气感染。但因为其移动性,不推荐在无防护措施情况下产生直接接触。感染SCP-CN-3356后目前主流医学手段只能延缓感染不能治疗,致死率达100%。
感染SCP-CN-3356后症状可分为三个阶段
- 初期患者出现明显的肌肉乏力、视线模糊以及心率不齐和高热。
- 中期患者出现凝血功能障碍,身体出现大片点状红斑且出现谵妄以及腹痛感,伴随严重腹泻便血和呕血。
- 晚期患者出现多器官衰竭,内脏多处大出血,血液内游离血红蛋白含量剧增发生严重溶血症状,大小便失禁并且出现肌肉僵直。
患者后期大多会因急性严重溶血、严重的腹泻呕吐导致的脱水或者多器官衰竭等多种病症死亡。通过对液氩速冻的尸体进行切片观察可发现感染者的脾、肺有液化现象,脑部出现神经纤维化现象。
注:受SCP-CN-3356感染后死亡者的尸体应在2h内处理。尸体在两小时后会表现出以下特性
- 类巨人观特征
- 皮肤发红
- 软组织液化
若在出现以上特征后仍不处理,尸体则会进一步发生液化。除骨骼和部分脑组织,全身所有组织化为一滩鲜红色稠状液体(以下简称液体)。冷冻样本显示,液体约含80%的SCP-CN-3356以及20%感染者液化的组织。液体会主动流向水源或活体。液体会通过喷射组织来远程感染活体,其距离可达4m左右。
附录CN-3356实验记录
实验-活性测试
实验:SCP-CN-3356 日期20██年█月█日
过程:取SCP-CN-3356样本1μL,FC-10培养基中培养,置于超净工作台中,若干人血样本。
分别置于以下气体研究活性
- 氮气(80%)
- 一氧化碳(1%)
- 二氧化碳(20%)
- 氧气(10%—50%)
- 氩气(30%—50%)
判别指标:根据在空气下SCP-CN-3356的移动速度(即常规速度:80μm/s)比对数据作为活性指标。
实验结果
实验结论:氩气和氧气在较高浓度(≥30%)时均可对SCP-CN-3356表现出较好的抑制效果。应尽量避免与氮气接触,严禁与二氧化碳气体接触。一氧化碳抑制效果较差,且气体安全性差,不适用于日常收容工作。
实验-感染测试
实验:SCP-CN-3356 日期20██年█月█日
对象:三只健康的恒河猴,背部剃毛处理实验安全协议:本次实验严格遵守以下协议
- 实验舱室保持空气循环,维持湿度和温度于安全水平内
- 实验结束后对实验器材、对象进行销毁
- 发生事故应遵守生物泄露应急响应协议和人员撤离程序
- 样本提取需全程自动化
- 样本检测人员需在氧氩实验室进行样本检测操作
过程:将三只恒河猴置于空气环境中,由机械臂使用微量移液器吸取0.2μLSCP-CN-3356样本,滴入口腔。
记录时间:滴后2分钟
现象:三只恒河猴均出现共济失调,体温大于38℃。提取三只恒河猴血液样本检测发现:游离的血红蛋白含量高于正常值。血细胞含量低于正常水平,CD4+T细胞含量上升,细胞因子水平正常。时间:滴后6分钟
现象:三只恒河猴背部可观察到大片点状红斑,其中两只恒河猴出现了便血并观察到有相互间攻击行为,三只恒河猴均表现出亢奋激进的状态。提取三只恒河猴血液样本检测发现:游离的血红蛋白含量较上次记录有较大幅度提升,CD4+T细胞含量较上次记录则大幅下降远低于正常值,IL-6>50pg/ml3,指标符合细胞因子风暴诊断标准。
时间:滴后10分钟
现象:三只恒河猴发生休克,在大约1分钟左右全部死亡。提取血液样本后将尸体转移至液氩池冷冻,样本分析发现:游离的血红蛋白是第2次记录的3倍左右,CD4+T细胞含量低于80cells/μL,IL-6含量依旧保持高水平,对体速冻切片观察可发现肺部液化,脾脏肿大,脑部纤维化。实验结论:感染SCP-CN-3356会导致免疫系统几乎崩溃,生物内环境的水分条件加快了SCP-CN-3356感染速度。若不采取手段干预,感染约10分钟左右患者便会死亡。
附录—收容协议
生物泄露应急响应协议
下述协议需严格执行
- 立即冲入大量氧气,使氧气浓度不得低于80%
- 缓慢降低电磁悬浮平台直至下沉至底部的含氧低温仓,在仓内使用CO2激光对平台及培养皿进行全身快速扫描
- 收容间应立即使用电弧灭菌系统扫描房间,待30s后充入低温氩气4降低室温至-30℃左右后停止
- 使用太赫兹成像技术扫描房间整体,如有残留则需再次执行上一操作
- 完成后需要对收容间的氧化铝陶瓷进行开裂检测,发生开裂的需要立即更换
- 确保无误后解除锁定,将SCP-CN-3356重新升入房间,检查表面隔热涂层脱落情况,有脱落情况需要及时重新镀漆
协议完成
人员撤离程序
下述协议需严格执行
- 发生泄露后不论人员是否感染需立即进入一级氧氩混合气体常压5闸室内,滞留时间不得低于1min
- 完成上述操作后立即进入二级闸室由机械臂全自动剥离防护服,人员撤出后对防护服进行辐照处理,时间不得低于1min。完成辐照后防护服应使用电弧销毁
- 人员撤离二级闸室后,应立即服用████-α阻断剂并分别转移入硅酸盐玻璃房间隔离观察2h,房间内气体环境必须为氩氧混合6气体,并保持常压状态
- 若人员出现中晚期症状,则应执行安乐死并使用液氩速冻尸体,而后转移至电弧焚化炉焚烧尸体,时间不得低于40min
- 待隔离期结束后未出现任何感染后的早、中、晚期症状即可解除锁定,但该对象也应进行持续观察。若再次出现异常,需由MTF进行无接触抓捕隔离。对于表现出强烈的抗拒心理并不听从劝导的,则因立即击毙并用液氩速冻尸体后同上述步骤处理尸体。
协议完成
附录—事故:血光之灾
事故报告:由█博士提出对SCP-CN-3356进行显微成像,制作临时装片时依照常规,采用生理盐水防止异常发生涨破。实验在隔离箱中进行,隔离箱与实验室处于相同的气体环境下,未进行干燥。最终导致收容失效。
实验室多个监控探头记录下事故发生过程:事后处理及总结报告:收容失效约24分钟后,MTF-CN-Gamma-06对SCP-CN-3356进行再收容程序,收容过程中SCP-CN-3356-2(触手状物体)表现出高度侵略性以及对于再收容行为的抵抗。完成收容后对所有SCP-CN-3356-2进行销毁,仅保留最低限度的SCP-CN-3356样品收容。
本次涉事五名人员的遗体遵循人员撤离程序遗体处理协议进行销毁。为防止SCP-CN-3356收容失效可能造成的环境生物污染威胁,对事发实验室采用温压弹摧毁并对遗址进行为期半年的生物活性监测。
此次事故导致人员财产损失,但影像资料丰富了对异常的行为模式的观测研究数据。应修订特殊收容措施,强调收容间需保持干燥的收容环境,避免激活异常。
需额外注意:SCP-CN-3356在富水环境下表现出群体协调模式,能够自发聚集形成有组织的攻击性物体,对于环境中的活体感知能力强大,能够快速识别环境中的活体并进行感染。以上信息表明异常可能拥有一种基于群体的协调决策能力,此能力超越地球所有已知简单生物,需评估SCP-CN-3356可能具有群体智慧。





