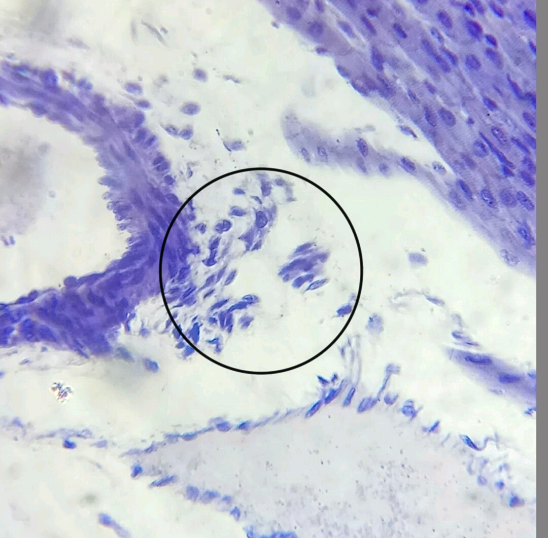
光学显微镜下的阶段四SCP-CN-907,黑圈中为阶段一SCP-CN-907
项目编号:SCP-CN-907
项目等级:Euclid Keter
特殊收容措施:目前所有SCP-CN-907应被存放于Site-CN-16的三级生物危害储存室中。关于SCP-CN-907实验的完整记录必须在调用SCP-CN-907的样品之前和实验结束后提交。研究员只有经过至少2名3级及以上人员的授权后才被允许使用SCP-CN-907样本进行实验。任何与SCP-CN-907样本或患者进行接触的人员需穿戴全身型防护服。发生疫情爆发时,机动特遣队丁申-10 “紧急医保”将隔离寄主并进行相关人员的记忆删除。
描述:SCP-CN-907一种是以人类为寄主的拟寄生生物,其基因结构无法被归入目前已知的分类中。SCP-CN-907的生命周期由4个不同的阶段构成,各个阶段个体的形态均会发生较大变化。
阶段一:该阶段的SCP-CN-907为球形,其直径约为100微米。由于较小的质量,阶段一的SCP-CN-907可以在一定程度上通过气流携带进行广泛传播。
阶段二:当阶段一的SCP-CN-907接触存活的人类客体时,SCP-CN-907将进行变态并进入下一阶段。阶段二的SCP-CN-907身体长度约为20微米,分为颚体和躯体,颚体由口器和颚基组成,躯体分为足体和末体。颚体前端有口器,食性为皮肤表皮的油脂和表皮层的皮肤细胞。在此阶段中,SCP-CN-907将试图在表皮层挖掘出一条直达真皮层的隧道。
阶段三:当阶段二的SCP-CN-907接触真皮层时,SCP-CN-907将进行变态并进入下一阶段。阶段三的SCP-CN-907外形类似于冬虫夏草,即被麦角菌感染的蝙蝠蛾幼虫,其变化的附肢能够将自身连接至真皮层的毛细血管簇。此阶段的SCP-CN-907将通过吞噬真皮层的组织和血管输送的营养物质在皮下持续生长。与此同时,SCP-CN-907前部延伸出的菌丝将与真皮层的神经相连,通过发射伪造的电脉冲使寄主感觉不到异常。在部分皮肤厚度较薄的区域,SCP-CN-907会突出皮肤表皮层并拟态为普通的疤痕组织。在不进行组织分析的情况下,寄主无法将拟态的疤痕和真正的疤痕组织区分开来。
阶段四:当阶段三的SCP-CN-907成功覆盖超过寄主身体表面积的10%时,SCP-CN-907将进行变态并进入下一阶段。该阶段的SCP-CN-907会将产生一系列囊状结构,囊泡中包含有大量阶段一的SCP-CN-907。当所有阶段三的SCP-CN-907均被转化为阶段四时,囊泡会分泌出一种酸性物质以腐蚀寄主皮肤结构并喷射出约20-50个阶段一的SCP-CN-907个体。寄主自身通常因为此过程所带来的大量失血或皮肤大规模破损引起的后续感染而死亡。
在个别案例下,阶段三中SCP-CN-907延伸出的菌丝将一直向寄主头部和胸部神经节方向延伸,但在这些案例下的寄主均由于阶段四的SCP-CN-907的大量出血而死亡。
附录:回收记录
中国██省█████中数个村落发生大规模死亡事件。怀疑有潜在的SCP活动,基金会人员派出伪装为当地医疗小组的特工确认了SCP-CN-907的存在。随后,机动特遣队丁申-10 “紧急医保”隔离了所有寄主并进行了相关人员的记忆删除。
由于对SCP-CN-907的靶向药物进展缓慢,加之阶段一的项目具有进入平流层引起全球性疫情的可能性,建议将项目等级提升至Keter级。——Dr. Lin





