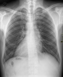
SCP-3331-1个体的X光片显示出内脏逆位。
项目编号:SCP-3331
项目等级:Euclid
特殊收容措施:SCP-3331存于收容间中心的安保基座上,收容间尺寸至少5立方米。SCP-3331-1个体收容于标准人形收容间内。
更多关于SCP-3331-1-Alpha及玻璃环行动的信息,参见子文件3331-1/12。
描述:SCP-3331是一芝麻街品牌电子儿童玩具,有10个数字按钮和一个装饰成典型电话屏幕的简单透镜面板。它持续发出一系列可听闻声音,范围属一般的标准电话按键音。无论是否有电池或其他能量源都会发生此种情况。
约每月3次,SCP-3331会发出四声以铜号角乐器演奏的乐音,与Pete Schofiel及Canadians的歌曲《格鲁吉亚的日与夜》的开头号角部分相同1。之后一名SCP-3331-1个体会显现在SCP-3331周边2米内的开阔空间中,将其拿起,如同其为正常电话一般进行对话。2结束后,SCP-3331-1个体会试图寻找并攻击距离其最近的其他SCP-3331-1个体,若阻止其如此做,个体会变得越发紧张,行为也会更加反常。
当前有26个SCP-3331-1个体被收容。
SCP-3331-1是一种人形实体,其外貌和生理特征与美国职业摔角手约翰·塞纳相同。所有个体患有内脏逆位3,约70%的个体表现出更多异常性质。采访表明个体与各自显现时的约翰·塞纳本人有近乎相同的记忆,但其人格和行为存在巨大差异。列表3331-A包含部分个体信息。
发现SCP-3331异常后不久就以调查潜在跟踪者为掩盖采访了约翰·塞纳本人,但他表现出对SCP-3331一无所知也没有关联。他仍处在观察中。
列表3331-A
需注意的SCP-3331-1个体,以个体编号编集。
| # | 异常性质 | 备注 |
|---|---|---|
| 1 | 无 | 人格侧写与约翰·塞纳极度匹配。 |
| 6 | 一种模因效应使观察者将其感知为比自己身高高70厘米。效应通过视频记录传播;实际身高推定与约翰·塞纳相同,但无法验证。 | 易于似乎是随机地发作自我陶醉,一般表现为“摔角广宣”风格的独白。 |
| 13 | 具有低级别灵能能力,令其可以预测附近人员的物理活动。 | 患有反社会人格障碍,被观察到利用其能力对收容人员造成严重伤害。今后13号个体只应由灵能抵抗得分高于85分的人员直接接触。 |
| 14 | 能操作其身体临近区域内的时间流动,令其可以在观察者感知中极快或极慢地移动。 | 患有一种与其时间感知方式相关的特殊精神障碍,当前正在分析。 |
| 18 | 骨骼结构具高度耐受性和韧性,令其对身体创伤有高度抵抗力,能进行超出人类骨骼一般容许范围的动作。 | 多次将骨骼弯曲为常规人体无力进入的小空间来试图逃跑。 |
| 23 | 若与之进行任何形式的游戏、竞赛、挑战,23号个体总能胜利,无论其对特定游戏是否有经验、或者有多少名参加者。 | 极度自大,相信其胜利是天赋技能所致,会定期地试图以个人侮辱挑衅基金会人员与之竞赛。任何时候不得在23号个体附近使用会将其收容与游戏、挑战混同的言词。 |
回收
SCP-3331被发现于23/08/2010,自动网络分析机I/O-老虎筛查到潜在的异常活动;某论坛发帖描述称有一“玩具电话被扒了电池还会响”,同地区还有多起对约翰·塞纳的目击,而他本人此时被确认身在他处。调查发现发帖者是██的██████医院的护士,项目原本属于一名曾在2007年被约翰·塞纳造访的绝症儿童,在其死后被留在储物间内。
事故3331/4
于17/11/2017,约翰·塞纳与最初对其进行采访的特工通过电话进行联系,报告看到有个“看起来很像他”的人在他家外。特工被派出调查,进行了第二次采访,内容抄录如下:
采访者:特工Sonia Li
受访者:约翰·塞纳[抄录开始]
塞纳:Li警探,很高兴再次见到你。
Li:塞纳先生。我想你是遇到了跟踪狂问题?
塞纳:对,几晚前看到有人在我家旁边鬼鬼祟祟,我记得你上次说有什么问题就打给你们。
Li:当然。你能描述下此人吗?
塞纳:好,嗯,他……
(沉默。)
塞纳:他看起来很像我。有几秒我都以为那是我自己在窗户上的投影而已。很奇怪,是吧?
Li:他做了什么吗?
塞纳:没,他嗯,我觉得他在发现我看到他之后就跑了。
Li:你之前有看到过他吗?或者任何看起来像是他的人?
塞纳:你是说看起来像我。
Li:对。
塞纳:你觉得我会记得之前看到过有谁长得完全像是我。Li:你是否—
塞纳:除非你们把我的记忆给抹掉了,当然。
(沉默)
Li:你的意思—
此时,视频记录显示特工Li突然定在原地无法移动。
塞纳:拜托,Li特工。我们都知道你们不会表现出如此吓人的敏感缺乏,除非你们没有计划让我把整件事情忘掉。你们叫它们什么?
Li:唔—唔—唔—
塞纳:哦,对,记忆删除。怪名字。
Li:怎—怎么—
塞纳:我怎么做到的?哦,我有很多天赋。比我想的要少,当然,毕竟你们切断了我的补给。我已经好段时间只是在和我既有的比拼,很明显。如果没有其他竞争当上最佳约翰·塞纳还是太容易。
Li:住—住手—
塞纳:不过说老实话,我无聊了。花了我长到懒得管的时间才承认这种联系,你们要比我们第一次见敏感得多。但我最后意识到,我的劣等副本不再来拜访我和你们来见我是同一时间。警察采访问我一个从来没见过的跟踪狂?但—
安保警铃开始作响。
塞纳:啊,看起来我们到时间了。无所谓,我得到我想要的了。
塞纳敲了敲Li特工的脑侧。
塞纳:回头见,特工Li。不过你也不会见到我了。哈,你不能见到我。
塞纳瞬间消失。特工Li跪地喘息。
[抄录结束]
约翰·塞纳,现编为SCP-3331-1-27,以热成像对其进行了短暂追踪;它被看见直接穿透墙壁离开建筑,此时突然彻底消失。大约七分钟后,Site-724报告发生与SCP-3331-1-27及其他SCP-3331-1个体相关的系列收容突破。11名SCP-3331-1个体在安保人员响应前被杀,27号个体以未知方式逃离了站点。安保视频显示其展现出与现已死亡的6号个体相同的能力。
事故中无基金会人员受伤。分析热成像视频和一捕获的X光5后发现27号个体有67%的概率患有内脏逆位。
调查约翰·塞纳家中后发现有一隐藏地下室,配有一临时摔跤场。在场下埋有15具高度腐烂的SCP-3331-1尸体。所有个体都是死于在摔跤中所受的重度创伤。部分尸体仍然表现出异常性质。
因将约翰·塞纳这样的知名人士从公共认知中移除存在困难,被认定为更有效率的办法是用无异常的SCP-3331-1个体将他替换。SCP-3331-1-1,现编为SCP-3331-1-Alpha,在进行记忆删除治疗、记忆治疗和生理调试后顶替了约翰·塞纳。参见玻璃环行动文件获取详情。
27号个体与原本的约翰·塞纳(现编为PoI-46532)下落仍然未知。





